Loading...

Skip to main content
Call us at +1-800-604-9114 for more information about our products or contact us online Need help? +1-800-604-9114 or contact us

Filters


Clonality

Type

Reactivity

Gene Name

Isotype

Host

Application

Clone

Monoclonal Antibodies

Get accurate results in your research with our Monoclonal Antibodies, which are specially made to target exactly what you require for your research, and will produce consistent, reliable performance in lab tests.


Viewing 8250-8300 of 27777 product results


product-image-AAA50127_AD13.gif Application Data (Mouse TREM2 transfected cells stained with Rat anti Mouse TREM2 followed by Goat F(ab')2 anti Rat IgG:RPE (Mouse Adsorbed))

TREM-2, Monoclonal Antibody (Cat# AAA50127)

Full Name
RAT ANTI MOUSE TREM-2:FITC
Gene Names
Trem2; TREM-2; Trem2a; Trem2b; Trem2c
Applications
Flow Cytometry
Pricing
product-image-AAA50163_AD11.gif Application Data (Staining of canine peripheral blood lymphocytes with Rat anti Canine CD45:Alexa FluorR488)

CD45, Monoclonal Antibody (Cat# AAA50163)

Full Name
RAT ANTI DOG CD45
Gene Names
PTPRC; LCA; LY5; B220; CD45; L-CA; T200; CD45R; GP180
Applications
Immunoprecipitation, Flow Cytometry
Pricing
product-image-AAA50181_AD11.gif Application Data (Staining of canine peripheral blood lymphocytes with Rat anti Canine CD4: APC)

CD4, Monoclonal Antibody (Cat# AAA50181)

Full Name
RAT ANTI DOG CD4
Applications
Flow Cytometry, Immunohistochemistry
Pricing
product-image-AAA50223_AD11.jpg Application Data (Human peripheral blood lymphocytes stained with Mouse anti Human Siglec-7: RPE)

SIGLEC-7, Monoclonal Antibody (Cat# AAA50223)

Full Name
MOUSE ANTI HUMAN SIGLEC-7:FITC
Gene Names
SIGLEC7; p75; QA79; AIRM1; CD328; CDw328; D-siglec; SIGLEC-7; SIGLECP2; SIGLEC19P; p75/AIRM1
Applications
Flow Cytometry
Pricing

CD11d, Monoclonal Antibody (Cat# AAA50262)

Full Name
MOUSE ANTI DOG CD11d
Reactivity
Dog
Applications
Immunoprecipitation, Flow Cytometry, Immunohistochemistry
Pricing
product-image-AAA51916_ELISA10.jpg ELISA (Detection limit for recombinant GST tagged STK17A is approximately 0.1 ng/ml as a capture antibody.)

DRAK1 / STK17A, Monoclonal Antibody (Cat# AAA51916)

Full Name
Mouse Monoclonal [clone 4D12] (IgG2a,k) to Human DRAK1 / STK17A
Gene Names
STK17A; DRAK1
Reactivity
Human
Applications
Western Blot, Immunohistochemistry
Purity
Protein A Purified
Pricing
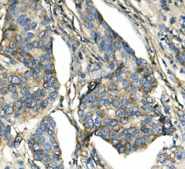
product-image-AAA51922_IHC11.jpg IHC (Immunohistochemisry) (Anti-PARP antibody IHC of human spleen. Immunohistochemistry of formalin-fixed, paraffin-embedded tissue after heat-induced antigen retrieval. Antibody concentration 10 ug/ml.)

PARP1 / PARP, Monoclonal Antibody (Cat# AAA51922)

Full Name
Mouse Monoclonal [clone A6.4.12] (IgG1) to Human PARP1 / PARP
Gene Names
PARP1; PARP; PPOL; ADPRT; ARTD1; ADPRT1; PARP-1; ADPRT 1; pADPRT-1
Reactivity
Human
Applications
Immunofluorescence, Immunoprecipitation, Western Blot, Immunohistochemistry
Purity
Protein G Purified
Pricing
product-image-AAA51943_IHC13.jpg IHC (Immunohiostchemistry) (Anti-C6 / Complement C6 antibody IHC of human liver. Immunohistochemistry of formalin-fixed, paraffin-embedded tissue after heat-induced antigen retrieval. Antibody concentration 10 ug/ml.)

Complement C6, Monoclonal Antibody (Cat# AAA51943)

Full Name
Mouse Monoclonal [clone 056B-214.2.4.2] (IgG1) to Human Complement C6
Reactivity
Human
Applications
Flow Cytometry, Immunohistochemistry
Purity
Protein A Purified
Pricing
product-image-AAA51843_IHC15.jpg IHC (Immunohistochemistry) (Anti-UMOD / Uromodulin antibody IHC of human kidney. Immunohistochemistry of formalin-fixed, paraffin-embedded tissue after heat-induced antigen retrieval. Antibody dilution 1:50.)

UMOD / Uromodulin, Monoclonal Antibody (Cat# AAA51843)

Full Name
Mouse Monoclonal [clone 10.32] (IgG2b) to Human UMOD / Uromodulin
Gene Names
UMOD; THP; FJHN; HNFJ; THGP; HNFJ1; MCKD2; ADMCKD2
Reactivity
Dog, Human
Applications
Immunohistochemistry
Purity
Protein G Purified
Pricing
product-image-AAA51866_WB11.jpg WB (Western Blot) (Western blot analysis of Hsp90Alpha in rat tissues, using a 1:1000 dilution of HSP90AA / HSP90 Alpha antibody.)

HSP90AA / HSP90 Alpha, Monoclonal Antibody (Cat# AAA51866)

Full Name
Mouse Monoclonal [clone 2G5.G3] (IgG) to Human HSP90AA / HSP90 Alpha
Reactivity
Human, Mouse, Rat
Applications
Immunoprecipitation, Western Blot, Immunocytochemistry, Immunohistochemistry
Purity
Protein G Purified from tissue culture supernatant
Pricing
product-image-AAA125904_FCM11.png FCM/FACS (Flow Cytometry) (Figure 3. Flow Cytometry analysis of SiHa cells using anti- IDH2 antibody (AAA125904).Overlay histogram showing SiHa cells stained with AAA125904 (Blue line). The cells were blocked with 10% normal goat serum. And then incubated with mouse anti-IDH2 Antibody (AAA125904, 1μg/1x106 cells) for 30 min at 20 degree C. DyLight®488 conjugated goat anti-mouse IgG (BA1126, 5-10μg/1x106 cells) was used as secondary antibody for 30 minutes at 20 degree C. Isotype control antibody (Green line) was mouse IgG (1μg/1x106) used under the same conditions. Unlabelled sample (Red line) was also used as a control.)

IDH2, Monoclonal Antibody (Cat# AAA125904)

Full Name
Anti-IDH2 Antibody (monoclonal, 2D4)
Gene Names
IDH2; IDH; IDP; IDHM; IDPM; ICD-M; D2HGA2; mNADP-IDH
Reactivity
Human, Mouse, Rat
Applications
Flow Cytometry, Immunofluorescence, Immunocytochemistry, Western Blot
Purity
Immunogen affinity purified.
Pricing
product-image-AAA125507_WB10.jpg WB (Western Blot) (Figure 1. Western blot analysis of ATP5H using anti-ATP5H antibody (M09565).)

ATP5H, Monoclonal Antibody (Cat# AAA125507)

Full Name
Anti-ATP5H Antibody (Monoclonal, 6B12)
Gene Names
ATP5PD; ATPQ; APT5H; ATP5H
Reactivity
Human, Mouse, Rat, Monkey
Applications
Immunofluorescence, Immunocytochemistry, Immunohistochemistry, Western Blot
Purity
Immunogen affinity purified.
Pricing

NiV Fusion glycoprotein/F Trimer, Monoclonal Antibody (Cat# AAA120695)

Full Name
InVivoMAb Anti-Nipah virus/NiV Fusion glycoprotein/F Trimer Antibody (Fab92)
Reactivity
Nipah virus (NiV)
Applications
Neutralization Assay
Purity
>95% by SDS-PAGE
Protein A or G purified from cell culture supernatant.
Pricing
product-image-AAA49484_AD8.gif Application Data (Staining of mouse bone marrow with Rat anti Mouse CD34: Alexa Fluor 647)

CD34, Monoclonal Antibody (Cat# AAA49484)

Full Name
RAT ANTI MOUSE CD34:RPE
Gene Names
Cd34; AU040960
Applications
Flow Cytometry
Pricing
product-image-AAA49374_AD10.gif Application Data (Staining of thrombin activated human platelets with Mouse anti Human CD62P:Alexa Fluor 647 (AAA49374A647))

CD62P, Monoclonal Antibody (Cat# AAA49374)

Full Name
MOUSE ANTI HUMAN CD62P
Gene Names
Selp; PSELECT
Reactivity
Bovine, Cat, Goat, Horse, Mouse, Rat, Sheep
Applications
Immunoprecipitation, Flow Cytometry, Immunohistochemistry
Pricing

IgY, Monoclonal Antibody (Cat# AAA49384)

Full Name
MOUSE ANTI DUCK IgY HEAVY CHAIN
Reactivity
Goose
Does not react with Chicken
N.B. Antibody reactivity and working conditions may vary between species.
Applications
Western Blot, Flow Cytometry
Pricing

C7, Monoclonal Antibody (Cat# AAA49395)

Full Name
MOUSE ANTI HUMAN C7
Applications
Western Blot, Functional Assay
Pricing
product-image-AAA49699_AD10.gif Application Data (Staining of human peripheral blood lymphocytes with Rat anti Human CD28)

CD28, Monoclonal Antibody (Cat# AAA49699)

Full Name
RAT ANTI HUMAN CD28
Gene Names
CD28; Tp44
Applications
Flow Cytometry, Immunohistochemistry
Purity
Purified
Purified IgG - liquid
Pricing
product-image-AAA49646_AD11.jpg Application Data (Published customer image: Distribution of ovine NKp46+ cells in lymph nodes and mucosal surfaces. Sections from ovine pre-scapular lymph node (A - cortex and B - medullary zone), abomasum (C), duodenum (D), ileum (E), colon (F), uterus (G) and lung (H). NKp46+ cells: green; B-cells (IgM+) red; CD4+ T-cells blue in panel A and B; Epithelial cells (E-cadherin+) blue in parts C-H. White arrows: individual NKp46+ cells. Red arrows: putative intra-epithelial NKp46+ cells. "Fo": follicle and "P": paracortex. "L": lymphocytic aggregate. Isotype matched controls demonstrated diffuse and dull background fluorescence in both the red and green channels (data not shown), however this could easily be distinguished by character and/or intensity from the bright cell-surface staining seen with the NKp46 and IgM-specific antibodies. Autofluorescent artifacts such as those demonstrated by the yellow arrows (e.g. in C and D) were not uncommon in the tissues examined. A scale for each of the figure parts is given. Images are taken from tissues that were representative of samples taken from a minimum of three animals as determined by preliminary single colour immuncytochemistry analysis.From: Connelley, T. et al. NKp46 defines ovine cells that have characteristics corresponding to NK cells. Vet Res. 2011 42: 37.)

CD4, Monoclonal Antibody (Cat# AAA49646)

Full Name
MOUSE ANTI SHEEP CD4:FITC
Applications
Flow Cytometry
Pricing
product-image-AAA49649_AD15.gif Application Data (Sheep granulocytes stained with Mouse anti Sheep CD45 followed by Goat anti Mouse IgG H+L:FITC)

CD45, Monoclonal Antibody (Cat# AAA49649)

Full Name
MOUSE ANTI SHEEP CD45:RPE
Gene Names
PTPRC; LCA; LY5; B220; CD45; L-CA; T200; CD45R; GP180
Applications
Flow Cytometry
Pricing

17-BETA-ESTRADIOL, Monoclonal Antibody (Cat# AAA49757)

Full Name
MOUSE ANTI HUMAN 17-BETA-ESTRADIOL
Reactivity
Broad
Applications
ELISA
Pricing
product-image-AAA49766_AD11.gif Application Data (Rat peritoneal macrophages stained with Mouse anti Rat CD63:Alexa Fluor647)

CD63, Monoclonal Antibody (Cat# AAA49766)

Full Name
MOUSE ANTI RAT CD63
Applications
Western Blot, Immunohistochemistry, Immunoprecipitation, Flow Cytometry
Pricing
product-image-AAA322658_WB15.jpg WB (Western Blot) (Western blot analysis using KEAP1 mouse mAb against NIH3T3 (1), and A549 (2) cell lysate.)

KEAP1, Monoclonal Antibody (Cat# AAA322658)

Full Name
KEAP1 Antibody
Gene Names
KEAP1; INrf2; KLHL19
Reactivity
Human
Applications
Flow Cytometry, Immunohistochemistry, Western Blot
Purity
Peptide affintiy purification
Pricing
product-image-AAA322677_WB15.jpg WB (Western Blot) (Figure 1: Western blot analysis using MESP1 mAb against MESP1(AA: 1-200)-hIgGFc transfected HEK293 cell lysate.)

MESP1, Monoclonal Antibody (Cat# AAA322677)

Full Name
MESP1 Antibody
Gene Names
MESP1; bHLHc5
Reactivity
Human
Applications
Western Blot
Purity
Peptide affinity purification
Pricing
product-image-AAA322679_WB15.jpg WB (Western Blot) (Western blot analysis using APOA1 mouse mAb against HEK293T cells transfected with the pCMV6-ENTRY control (1) and pCMV6-ENTRY APOA1 cDNA (2).)

APOA1, Monoclonal Antibody (Cat# AAA322679)

Full Name
APOA1 Antibody
Gene Names
APOA1; apo(a)
Reactivity
Human
Applications
Western Blot
Purity
Affinity-Chromatography
Pricing
product-image-AAA322680_IHC13.png IHC (Immunohiostchemistry) (Immunohistochemical analysis of paraffin-embedded human spleen tissues using P16 mouse mAb.)

P16, Monoclonal Antibody (Cat# AAA322680)

Full Name
Human P16 Antibody
Gene Names
CDKN2A; ARF; MLM; P14; P16; P19; CMM2; INK4; MTS1; TP16; CDK4I; CDKN2; INK4A; MTS-1; P14ARF; P19ARF; P16INK4; P16INK4A; P16-INK4A
Reactivity
Human
Applications
Immunocytochemistry, Immunofluorescence, Immunohistochemistry, Western Blot
Purity
Affinity-Chromatography
Pricing
product-image-AAA213547_WB10.jpg WB (Western Blot) (Detection of human SIRP alpha by western blot. Samples: Whole cell lysate (50 ug) from Malme-3M, HeLa, 786-O, HEK293T, U2OS, OVCAR-4, and SK-MEL-28 cells prepared using NETN lysis buffer. Antibody: Rabbit anti-SIRP alpha recombinant monoclonal antibody (AAA213547 lot 1) used at 1:1000. Secondary: HRP-conjugated goat anti-rabbit IgG . Detection: Chemiluminescence with an exposure time of 30 seconds. Lower Panel: Rabbit anti-Actin .)

SIRP alpha, Monoclonal Recombinant Antibody (Cat# AAA213547)

Full Name
Rabbit anti-SIRP alpha Recombinant Monoclonal Antibody [BLR049F]
Gene Names
SIRPA; BIT; MFR; P84; SIRP; MYD-1; SHPS1; CD172A; PTPNS1
Reactivity
Human
Applications
Immunocytochemistry, Immunohistochemistry, Immunoprecipitation, Western Blot
Purity
Purified
Pricing
product-image-AAA213548_WB11.jpg WB (Western Blot) (Detection of human Senataxin by western blot. Samples: Whole cell lysate (50 ug) from HeLa, Hep-G2, SW620, 786-O, and Jurkat cells prepared using NETN lysis buffer. Antibody: Rabbit anti-Senataxin recombinant monoclonal antibody (AAA213548 lot 2) used at 1:1000. Secondary: HRP-conjugated goat anti-rabbit IgG . Detection: Chemiluminescence with an exposure time of 75 seconds. Lower Panel: Rabbit anti-COPB2 antibody .)

Senataxin, Monoclonal Recombinant Antibody (Cat# AAA213548)

Full Name
Rabbit anti-Senataxin Recombinant Monoclonal Antibody [BLR050F]
Gene Names
SETX; ALS4; AOA2; Sen1; SCAR1; bA479K20.2
Reactivity
Human
Applications
Flow Cytometry, Immunoprecipitation, Western Blot
Purity
Purified
Pricing
product-image-AAA213560_WB10.jpg WB (Western Blot) (Detection of human TFEB by western blot. Samples: Whole cell lysate (50 ug) from HeLa, Hep-G2, MCF-7, Jurkat, and K-562 cells prepared using NETN lysis buffer. Antibody: Rabbit anti-TFEB recombinant monoclonal antibody (AAA213560 lot 2) used at 1:1000. Secondary: HRP-conjugated goat anti-rabbit IgG . Detection: Chemiluminescence with an exposure time of 3 minutes. Lower Panel: Rabbit anti-Actin recombinant monoclonal antibody .)

TFEB, Monoclonal Recombinant Antibody (Cat# AAA213560)

Full Name
Rabbit anti-TFEB Recombinant Monoclonal Antibody [BLR070G]
Gene Names
TFEB; TCFEB; BHLHE35; ALPHATFEB
Reactivity
Human, Mouse
Applications
Flow Cytometry, Immunoprecipitation, Western Blot
Purity
Purified
Pricing
product-image-AAA214770_SDS_PAGE10.jpg SDS_PAGE (SDS-PAGE Analysis Purified CK18 Rabbit Recombinant Monoclonal Antibody (KRT18/2808R). Confirmation of Purity and Integrity of Antibody.)

Cytokeratin 18 (KRT18), Monoclonal Antibody (Cat# AAA214770)

Full Name
Cytokeratin 18 (KRT18)
Gene Names
KRT18; K18; CK-18; CYK18
Reactivity
Human. Others not known.
Applications
Immunohistochemistry, Western Blot
Purity
Purified Ab with BSA and Azide at 200ug/ml OR Purified Ab WITHOUT BSA and Azide at 1.0mg/ml
Pricing
product-image-AAA214390_SDS_PAGE8.jpg SDS-PAGE (SDS-PAGE Analysis Purified HSP60 Rabbit Recombinant Monoclonal Antibody (HSPD1/2206R). Confirmation of Purity and Integrity of Antibody.)

HSP60 (Heat Shock Protein 60), Monoclonal Antibody (Cat# AAA214390)

Full Name
HSP60 (Heat Shock Protein 60) (Mitochondrial Marker)
Gene Names
HSPD1; HLD4; CPN60; GROEL; HSP60; HSP65; SPG13; HSP-60; HuCHA60
Reactivity
Human, Mouse, Rat, Hamster, Sheep, Rabbit, Cow, Dog, Pig, Monkey and Chicken.
Applications
Immunohistochemistry, Western Blot, Immunofluorescence, Flow Cytometry
Pricing
product-image-AAA151580_IHC13.jpg IHC (Immunohiostchemistry) (DAB staining on IHCP;Sample: Human Glioma Tissue; Primary Ab: 20ug/ml Mouse AntiHuman AQP4 AntibodySecond Ab: 2ug/mL HRPLinked Caprine AntiMouse IgG Polyclonal Antibody(Catalog: SAA544Mu19))

Aquaporin 4 (AQP4), Monoclonal Antibody (Cat# AAA151580)

Full Name
Monoclonal Antibody to Aquaporin 4 (AQP4)
Gene Names
AQP4; MIWC; HMIWC2
Reactivity
Human
Applications
Immunoprecipitation, Immunocytochemistry, Immunohistochemistry, Western Blot
Purity
Protein A + Protein G affinity chromatography
Pricing
product-image-AAA151541_IHC11.jpg IHC (Immunohistochemisry) (DAB staining on IHCP;Sample: Human Kidney Tissue; Primary Ab: 30ug/ml Mouse AntiHuman DAF AntibodySecond Ab: 2ug/mL HRPLinked Caprine AntiMouse IgG Polyclonal Antibody(Catalog: SAA544Mu19))

Cluster Of Differentiation 55 (CD55), Monoclonal Antibody (Cat# AAA151541)

Full Name
Monoclonal Antibody to Cluster Of Differentiation 55 (CD55)
Gene Names
CD55; CR; TC; DAF; CROM
Reactivity
Human, Pig
Applications
Immunoprecipitation, Immunocytochemistry, Immunohistochemistry, Western Blot
Purity
Protein A + Protein G affinity chromatography
Pricing
product-image-AAA151560_IHC13.jpg IHC (Immunohiostchemistry) (DAB staining on IHCP;Sample: Human Stomach Tissue; Primary Ab: 20ug/ml Mouse AntiHuman EGF AntibodySecond Ab: 2ug/mL HRPLinked Caprine AntiMouse IgG Polyclonal Antibody(Catalog: SAA544Mu19))

Epidermal Growth Factor (EGF), Monoclonal Antibody (Cat# AAA151560)

Full Name
Monoclonal Antibody to Epidermal Growth Factor (EGF)
Gene Names
EGF; URG; HOMG4
Reactivity
Human, Pig
Applications
Immunoprecipitation, Immunocytochemistry, Immunohistochemistry, Western Blot
Purity
Protein A + Protein G affinity chromatography
Pricing
product-image-AAA151880_IHC13.jpg IHC (Immunohiostchemistry) (DAB staining on IHCP;Sample: Human Skeletal muscle Tissue; Primary Ab: 20ug/ml Mouse AntiHuman ISLR AntibodySecond Ab: 2ug/mL HRPLinked Caprine AntiMouse IgG Polyclonal Antibody(Catalog: SAA544Mu19))

Immunoglobulin Superfamily Containing Leucine Rich Repeat Protein (ISLR), Monoclonal Antibody (Cat# AAA151880)

Full Name
Monoclonal Antibody to Immunoglobulin Superfamily Containing Leucine Rich Repeat Protein (ISLR)
Gene Names
ISLR; HsT17563
Reactivity
Human, Pig
Applications
Immunoprecipitation, Immunocytochemistry, Immunohistochemistry, Western Blot
Purity
Protein A + Protein G affinity chromatography
Pricing
product-image-AAA151448_IHC13.jpg IHC (Immunohiostchemistry) (DAB staining on IHCP;Sample: Human Colon Tissue; Primary Ab: 30ug/ml Mouse AntiHuman IL17 AntibodySecond Ab: 2ug/mL HRPLinked Caprine AntiMouse IgG Polyclonal Antibody(Catalog: SAA544Mu19))

Interleukin 17 (IL17), Monoclonal Antibody (Cat# AAA151448)

Full Name
Monoclonal Antibody to Interleukin 17 (IL17)
Gene Names
IL17A; IL17; CTLA8; IL-17; IL-17A
Reactivity
Human, Pig
Applications
Immunoprecipitation, Immunocytochemistry, Immunohistochemistry, Western Blot
Purity
Protein A + Protein G affinity chromatography
Pricing
product-image-AAA151500_WB13.jpg WB (Western Blot) (Western Blot; Sample: Rat Liver lysate; Primary Ab: 2ug/ml Mouse AntiHuman Ubiquitin Antibody Second Ab: 0.2ug/mL HRPLinked Caprine AntiMouse IgG Polyclonal Antibody (Catalog: SAA544Mu19))

Ubiquitin (Ub), Monoclonal Antibody (Cat# AAA151500)

Full Name
Monoclonal Antibody to Ubiquitin (Ub)
Reactivity
Human, Rat, Pig
Applications
Immunoprecipitation, Immunocytochemistry, Immunohistochemistry, Western Blot
Purity
Protein A + Protein G affinity chromatography
Pricing
product-image-AAA150821_WB13.jpg WB (Western Blot) (Western Blot; Sample: Lane1: Human Skeletal muscle lysate; Lane2: Human MCF7 cell lysate; Primary Ab)

Insulin Like Growth Factor 1 Receptor (IGF1R), Monoclonal Antibody (Cat# AAA150821)

Full Name
Monoclonal Antibody to Insulin Like Growth Factor 1 Receptor (IGF1R)
Gene Names
IGF1R; IGFR; CD221; IGFIR; JTK13
Reactivity
Human, Pig
Applications
Immunoprecipitation, Immunocytochemistry, Immunohistochemistry, Western Blot
Purity
Protein A + Protein G affinity chromatography
Pricing
product-image-AAA152866_WB13.jpg WB (Western Blot) (Western Blot; Sample: Rat Spleen lysatePrimary Ab: 2ug/ml Mouse Anti-human CTLA4 AntibodySecond Ab: 0.2ug/ml HRP-Linked Caprine Anti-Mouse IgG Polyclonal Antibody)

Cytotoxic T-Lymphocyte Associated Antigen 4 (CTLA4), Monoclonal Antibody (Cat# AAA152866)

Full Name
Monoclonal Antibody to Cytotoxic T-Lymphocyte Associated Antigen 4 (CTLA4)
Gene Names
CTLA4; CD; GSE; GRD4; CD152; CTLA-4; IDDM12; CELIAC3
Reactivity
Human
Applications
Immunoprecipitation, Immunocytochemistry, Immunohistochemistry, Western Blot
Purity
Protein A + Protein G affinity chromatography
Pricing
product-image-AAA152870_IHC13.jpg IHC (Immunohiostchemistry) (DAB staining on IHC-P;Sample: Porcine Kidney TissuePrimary Ab: 40ug/ml Mouse Anti-ulti-species Ub AntibodyControl: Used PBS instead of primary antibodySecond Ab: 2 ug/ml HRP-Linked Caprine Anti-Mouse IgG Polyclonal Antibody)

Ubiquitin (Ub), Monoclonal Antibody (Cat# AAA152870)

Full Name
Monoclonal Antibody to Ubiquitin (Ub)
Reactivity
Multiple species
Applications
Immunoprecipitation, Immunocytochemistry, Immunohistochemistry, Western Blot
Purity
Protein A + Protein G affinity chromatography
Pricing
product-image-AAA162318_ELISA10.jpg ELISA (Detection limit for recombinant GST tagged LIPA is approximately 10 ng/ml as a capture antibody.)

LIPA/Lysosomal Acid Lipase, Monoclonal Antibody (Cat# AAA162318)

Full Name
Anti-LIPA/Lysosomal Acid Lipase Antibody (clone 1F9)
Gene Names
LIPA; LAL; CESD
Reactivity
Human
Applications
Western Blot, Immunoprecipitation, Immunohistochemistry
Purity
Purified from ascites by Protein A
Pricing
product-image-AAA162421_FCM10.jpg FCM/FACS (Flow Cytometry) (FACS: DLK1-transfected HEK 293 (Full length) cells were stained significantly using anti-DLK1 (human), mAb (PF299-1).)

DLK1/Pref-1, Monoclonal Antibody (Cat# AAA162421)

Full Name
Anti-DLK1/Pref-1 Antibody (Extracellular Domain, clone PF299-1)
Gene Names
DLK1; DLK; FA1; ZOG; pG2; DLK-1; PREF1; Delta1; Pref-1
Reactivity
Human
Applications
Western Blot, Immunohistochemistry, Flow Cytometry
Purity
Protein G purified from tissue culture supernatant
Pricing
product-image-AAA152764_WB13.jpg WB (Western Blot) (Western Blot; Sample: Lane1: Rat Liver lysate; Lane2: human Placenta lysate; Lane3: Rat Small intestine lysate; Lane4: Hela cell lysate Primary Ab: 2 ug/ml Mouse Anti-human KRT18 Antibody Second Ab: 0.2ug/mL HRP-Linked Caprine Anti-Mouse IgG Polyclonal Antibody)

Cytokeratin 18 (CK18), Monoclonal Antibody (Cat# AAA152764)

Full Name
Monoclonal Antibody to Cytokeratin 18 (CK18)
Gene Names
KRT18; K18; CYK18
Reactivity
Human
Applications
Immunoprecipitation, Immunocytochemistry, Immunohistochemistry, Western Blot
Purity
Protein A + Protein G affinity chromatography
Pricing

Arginase (ARG), Monoclonal Antibody (Cat# AAA162048)

Full Name
Monoclonal Antibody to Arginase (ARG)
Reactivity
Rat, Mouse, Pig
Applications
Immunoprecipitation, Immunocytochemistry, Immunohistochemistry, Western Blot
Purity
Antigen-specific affinity chromatography followed by Protein A affinity chromatography
Pricing

CD9, Monoclonal Antibody (Cat# AAA128519)

Full Name
Anti-Ms CD9 Purified
Gene Names
Cd9; Tspan29
Reactivity
Mouse
Applications
Immunocytochemistry, Western Blot, Immunoprecipitation, Flow Cytometry
Purity
Purified by Protein-A Affinity Chromatography
Pricing

beta2-Microglobulin, Monoclonal Antibody (Cat# AAA128424)

Full Name
Anti-Hu beta2-Microglobulin Biotin
Gene Names
B2M; IMD43
Reactivity
Human
Applications
Immunocytochemistry, Immunohistochemistry, Western Blot, Immunoprecipitation, Flow Cytometry
Purity
The purified antibody is conjugated with biotin-LC-NHS under optimum conditions. The reagent is free of unconjugated biotin.
Pricing

CD26, Monoclonal Antibody (Cat# AAA128562)

Full Name
Anti-Ms CD26 PE
Gene Names
Dpp4; Cd26; THAM; Dpp-4
Reactivity
Mouse
Applications
Flow Cytometry
Purity
The purified antibody is conjugated with R-phycoerythrin (PE) under optimum conditions. The conjugate is purified by size-exclusion chromatography.
Pricing

CD79a, Monoclonal Antibody (Cat# AAA128598)

Full Name
Anti-Hu CD79a APC
Gene Names
CD79A; IGA; MB-1
Reactivity
Dog, Chicken, Rabbit, Guinea pig, Horse, Cow, Mouse, Rat, Pig, Non-human primates, Human
Applications
Flow Cytometry
Purity
The purified antibody is conjugated with allophycocyanin (APC) under optimum conditions. The conjugate is purified by size-exclusion chromatography.
Pricing

Influenza A (matrix protein), Monoclonal Antibody (Cat# AAA57606)

Full Name
MAb to Influenza A (Matrix)
Applications
Western Blot, Immunofluorescence
Purity
>90% pure (SDS-PAGE). Protein A chromatography
Pricing
product-image-AAA60796_WB15.jpg WB (Western Blot)

ABCA1, Monoclonal Antibody (Cat# AAA60796)

Full Name
Anti-ABCA1 Antibody
Gene Names
ABCA1; TGD; ABC1; CERP; ABC-1; HDLDT1
Reactivity
human, mouse, other
Applications
Immunohistochemistry, Immunoprecipitation, Western Blot
Pricing

What are Monoclonal Antibodies?


Monoclonal antibodies are specialized laboratory-produced proteins developed for binding to specific biological antigens or other molecular targets. Since they come from a single cell (or clone), they are especially consistent and accurate in the data they are involved in producing.


This type of antibody material has been shown to be a powerful tool in finding and subsequently destroying harmful cells in an organism, such as those found in cancers or various autoimmune diseases. This makes them excellent aids in medical testing and research, which is why they are so widely used.


AAA Biotech offers a comprehensive range of high-quality monoclonal antibodies that perform effectively in various laboratory tests, including (amongst others) ELISA, western blotting, immunohistochemistry, and flow cytometry. All of the products in our catalog are thoroughly quality tested to make sure that they are reliable and will consistently perform well in your research.


What Are The Uses of Monoclonal Antibodies


Monoclonal antibodies are used in many lab tests, including (amongst others) ELISA, western blotting, immunohistochemistry, and flow cytometry.


ELISA is a test that helps detect a specific substance/analyte in a sample. It uses antibodies (often monoclonal) bound to a solid surface (such as the well of a microplate) to “capture” the substance/analyte in the sample and immobilize it so that the detection antibody component can then bind to it and produce a signal, which can then be measured.


Western blotting identifies specific proteins in a sample. The sample is first separated on a gel, and then antibodies are applied that will typically bind to the target, which will all be localized to a single band in a lane.


Immunohistochemistry helps locate specific proteins in cells or tissue samples using antibodies.


Flow cytometry looks at and sorts cells. It uses antibodies that are conjugated to reporter molecules called “fluorophores”, which, under special lights, emit light themselves, which can then be measured by a detector instrument.


How Monoclonal Antibodies Are Used as Medicine?


Please note that all of the products listed in AAA Biotech’s catalog are strictly for research-use only (RUO).


Monoclonal antibodies can also be used as therapeutic/medical treatments, particularly in the context of cancers. They are designed to find and bind to specific cells or proteins, helping the immune system recognize and attack the cancer. These treatments work in different ways, such as:


  • Radioimmunotherapy attaches a small amount of radioactive molecule to the antibody, so it delivers the radiation directly to the cancer cells that the antibody is specifically binding to.

  • Antibody-directed enzyme prodrug therapy uses antibodies that are specifically bound to special enzymes. These enzymes activate a harmless drug in the body and turn it into a cancer-killing drug only near the cancer cells—this helps avoid harming healthy cells.

  • Immunoliposomes are tiny “bubbles” filled with medicine/drug and coated with antibodies. They carry the drug straight to the cancer cells.


Why Buy Monoclonal Antibodies From Us?


At AAA Biotech, we provide high-performance monoclonal antibodies designed to support a wide range of research needs.


1. Validated for Versatile Applications


The antibodies in our catalog are extensively validated and compatible with multiple techniques, including (but not limited to) ELISA, flow cytometry (FC), immunocytochemistry (ICC), immunofluorescence (IF), immunohistochemistry (IHC), immunoprecipitation (IP), and western blotting (WB).


2. Wide Selection & Specialized Options


We offer antibodies for common and rare species, that are available in various conjugated forms, and also in recombinant formats. Essentially, there is almost anything one might need to meet their experimental model’s requirements.


3. High-Quality Proteins


Our proteins meet high purity standards—90% or more as confirmed by SDS-PAGE. Many are available with tags like His, Flag, GST, or MBP, and we also supply native and biologically active proteins for functional studies.


Frequently Asked Questions


1. Are your monoclonal antibodies validated for specific applications?


Yes, our antibodies are tested and validated for use in methods such as ELISA, western blot, IHC, flow cytometry, and more. Refer to specific product pages or datasheets for individual product information.


2. How do I choose the right monoclonal antibody for my application?


Review the product details directly for application validation, species reactivity, and target information. You may also contact our support team at any time for help.


3. How quickly can I receive my order?


Most orders are processed and shipped within 1–3 business days, depending on product availability and your shipping location.


Submit a Question

Please complete the form below and a representative will contact you as soon as possible.

Request more Information

Please complete the form below and a representative will contact you as soon as possible.

Request a Manual

Please complete the form below and a representative will contact you as soon as possible.

Request a Quote

Please complete the form below and a representative will contact you as soon as possible.