Loading...

Skip to main content
Call us at +1-800-604-9114 for more information about our products or contact us online Need help? +1-800-604-9114 or contact us

Filters


Clonality

Type

Reactivity

Gene Name

Isotype

Host

Application

Clone

Secondary Antibodies

At AAA Biotech also known as AAA Bio or AAABio, we provide a vast collection of high-quality, purified, conjugated and unconjugated secondary antibodies to use in various applications, such as Western Blotting, Flow Cytometry, Cell Imaging, or CUT & Tag.


Our secondary antibodies are available with a wide range of labels—such as HRP, AP, FITC, and biotin—to match your detection system and enhance signal sensitivity. Each antibody is rigorously tested to ensure high specificity and minimal cross-reactivity, delivering reliable performance across multiple species and assay types.


Whether you're conducting qualitative imaging or quantitative analysis, AAA Biotech has the right secondary antibody to support your research with consistency and precision. Our entire catalog of secondary antibodies is available for browsing through our main website.


Viewing 50-100 of 550 product results


Goat anti Dog IgM (Fc specific), Polyclonal Secondary Antibody (Cat# AAA77593)

No reviews yet
Full Name
Goat anti Dog IgM (Fc specific)
Reactivity
Canine
Applications
Immunoblot, Dot Blot, Immunofluorescence
Pricing

Sheep anti Guinea Pig IgG1 IgG2 IgA IgM (heavy and light chains), Polyclonal Secondary Antibody (Cat# AAA77606)

No reviews yet
Full Name
Sheep anti Guinea Pig IgG1 IgG2 IgA IgM (heavy and light chains)
Applications
Immunoelectrophoresis
Pricing

Donkey Anti-Rabbit IgG (H+L), Polyclonal Secondary Antibody (Cat# AAA78865)

No reviews yet
Full Name
Donkey Anti-Rabbit IgG (H+L), Human/Rat/Mouse ads-HRP
Reactivity
Rabbit
Applications
ELISA
Purity
Affinity chromatography on Rabbit IgG covalently linked to agarose.
Pricing

Goat Anti-Human IgM (u chain specific), Polyclonal Secondary Antibody (Cat# AAA78789)

No reviews yet
Full Name
Goat Anti-Human IgM-BIOT
Reactivity
Human
Applications
Western Blot, Immunohistochemistry, Immunofluorescence, Immunoblot
Purity
Affinity chromatography on human IgM covalently linked to Sepharose-4B.
Pricing
product-image-AAA78849_AD15.jpg Application Data (FLISA plate was coated with purified rhesus IgG. Immunoglobulin was detected with Goat Anti-Rhesus IgG (H+L)-PE)

Goat Anti-Rhesus IgG (H+L), Polyclonal Secondary Antibody (Cat# AAA78849)

No reviews yet
Full Name
Goat Anti-Rhesus IgG (H+L)-HRP
Applications
Western Blot, Immunohistochemistry, Immunofluorescence, Immunoblot
Purity
Affinity chromatography on rhesus IgG covalently linked to agarose.
Pricing
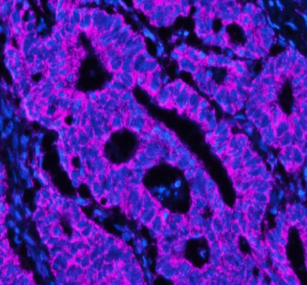
product-image-AAA63218_IF13.jpg IF (Immunofluorescence) (Immunofluorescence using hCEC cells, 1st Ab (anti-beta-Actin at 1/250) and 2nd Ab (anti-mouse AB27488 at 1/1,000); cells were fixed with methanol;)

IgG, Polyclonal Secondary Antibody (Cat# AAA63218)

No reviews yet
Full Name
Anti-Mouse IgG, DyLight488
Reactivity
Mouse
Applications
Immunofluorescence, Western Blot
Purity
Epitope affinity purified
Pricing
product-image-AAA63224_IF11.jpg IF (Immunofluorescence) (Immunofluorescence - anti-mCherry Ab (AB9770) using hCEC cells transduced with mCherry-Rab5a; cells were fixed with methanol and mCherry Ab at 1/250; 2nd Ab goat anti-IgY (AB307488) at 1:1,000;)

IgY, Polyclonal Secondary Antibody (Cat# AAA63224)

No reviews yet
Full Name
Anti-Chicken IgY, DyLight488
Reactivity
Chicken
Applications
Immunofluorescence, Western Blot
Purity
Epitope affinity purified
Pricing

IgM, Secondary Antibody (Cat# AAA173632)

No reviews yet
Full Name
Goat Anti-Mouse IgM(H+L) (FITC conjugated)
Reactivity
Mouse
Applications
Immunofluorescence
Purity
Affinity Purification
Pricing

Mouse anti Human IgG2 (Fab subclass specific), Monoclonal Secondary Antibody (Cat# AAA77529)

No reviews yet
Full Name
Mouse anti Human IgG2 (Fab subclass specific)
Reactivity
Human IgG
Applications
Immunofluorescence
Pricing

Rabbit anti Monkey IgG Fab, Polyclonal Secondary Antibody (Cat# AAA77545)

No reviews yet
Full Name
Rabbit anti Monkey IgG Fab
Reactivity
Monkey
Pricing

Goat anti Human J chain of dimeric IgA, Polyclonal Secondary Antibody (Cat# AAA77549)

No reviews yet
Full Name
Goat anti Human J chain of dimeric IgA, conjugated with FITC
Applications
Immunofluorescence, Immunohistochemistry, Immunocytochemistry
Pricing

Rabbit anti Mouse IgA (Fc specific), Polyclonal Secondary Antibody (Cat# AAA77568)

No reviews yet
Full Name
Rabbit anti Mouse IgA (Fc specific), conjugated with FITC
Reactivity
Mouse
Applications
Immunofluorescence, Immunohistochemistry, Immunocytochemistry
Pricing
product-image-AAA146593_WB15.jpg WB (Western Blot) ((Figure: Used in Western Blot; Sample: Gallus Serum.)Ab: 1:2000 Dilution of HRP-Linked Rabbit Anti-Chicken IgG AB (AAA146593))

IgG, Secondary Antibody (Cat# AAA146593)

No reviews yet
Full Name
HRP-Linked Rabbit Anti-Gallus IgG Polyclonal Antibody
Reactivity
Chicken
Applications
Immunocytochemistry, Immunohistochemistry, Western Blot
Purity
Antigen-specific affinity chromatography
Pricing
product-image-AAA78779_AD15.jpg Application Data

Goat Anti-Mouse IgG1 (gamma 1 chain specific), Polyclonal Secondary Antibody (Cat# AAA78779)

No reviews yet
Full Name
Goat Anti-Mouse IgG1, Human ads-APC
Reactivity
Mouse
Purity
Affinity chromatography on mouse IgG1 covalently linked to agarose
Pricing

IgG, Polyclonal Secondary Antibody (Cat# AAA177915)

No reviews yet
Full Name
Goat Anti-Rabbit IgG (H+L)(AF647 conjugated)
Reactivity
Rabbit
Applications
Immunofluorescence
Purity
Affinity purification
Pricing
product-image-AAA63223_IF11.jpg IF (Immunofluorescence) (Immunofluorescence - anti-mCherry Ab (AB9770) using hCEC cells transduced with mCherry-Rab5a; cells were fixed with methanol and mCherry Ab at 1/250; 2nd Ab goat anti-IgY (AB307405) at 1:1,000;)

IgY, Polyclonal Secondary Antibody (Cat# AAA63223)

No reviews yet
Full Name
Anti-Chicken IgY, DyLight405
Reactivity
Chicken
Applications
Immunofluorescence, Western Blot
Purity
Epitope affinity purified
Pricing

Goat anti Pig IgG (H + L) (HRP), Secondary Antibody (Cat# AAA75531)

No reviews yet
Full Name
Goat anti Pig IgG (H + L) (HRP)
Reactivity
This antibody reacts with whole molecule swine IgG and with light chains of other swine immunoglobulins.
Applications
Western Blot, Immunohistochemistry, Immunocytochemistry
Purity
Goat anti Pig IgG (H + L) (HRP) was purified by affinity chromatography.
Pricing

Rat Anti-Mouse IgE (epsilon chain specific), Monoclonal Secondary Antibody (Cat# AAA78644)

No reviews yet
Full Name
Rat Anti-Mouse IgE-UNLB
Reactivity
Mouse
Pricing

Mouse Anti-Human IgM (u chain specific), Monoclonal Secondary Antibody (Cat# AAA78712)

No reviews yet
Full Name
Mouse Anti-Human IgM-BIOT
Reactivity
Human
Applications
Western Blot, Immunohistochemistry, Immunofluorescence, Immunocytochemistry, Immunoblot
Pricing

Mouse Anti-Human IgG4 (gamma 4 chain specific), Monoclonal Secondary Antibody (Cat# AAA78734)

No reviews yet
Full Name
Mouse Anti-Human IgG4 (pFc')-HRP
Reactivity
Human
Applications
Western Blot, Immunohistochemistry, Immunocytochemistry, Immunoblot
Pricing

Goat Anti-Mouse IgG (gamma chain specific), Polyclonal Secondary Antibody (Cat# AAA78767)

No reviews yet
Full Name
Goat Anti-Mouse IgG, Human ads-AP
Reactivity
Mouse
Applications
Immunostaining, Immunoblot
Purity
Affinity chromatography on pooled mouse IgG covalently linked to agarose.
Pricing

Goat Anti-Mouse IgG (H+L), Polyclonal Secondary Antibody (Cat# AAA78769)

No reviews yet
Full Name
Goat Anti-Mouse IgG (H+L), Rat ads-UNLB
Reactivity
Mouse
Applications
Western Blot, Immunohistochemistry, Immunofluorescence, Immunoblot
Purity
Affinity chromatography on pooled mouse IgG covalently linked to agarose.
Pricing
product-image-AAA78796_ELISA15.jpg ELISA (ELISA plate was coated with purified human IgA, IgG, and IgM. Immunoglobulins were detected with serially diluted Goat Anti-Human IgA-HRP (AAA78796).)

Goat Anti-Human IgA (alpha chain specific), Polyclonal Secondary Antibody (Cat# AAA78796)

No reviews yet
Full Name
Goat Anti-Human IgA-HRP
Reactivity
Human IgG and IgM; may react with IgA from other species.
Applications
Flow Cytometry
Purity
Affinity chromatography on human IgA covalently linked to agarose
Pricing
product-image-AAA78802_AD13.jpg Application Data (FLISA plate was coated with purified human IgGκ, IgMκ, IgAκ, IgGλ, IgMλ, and IgAλ. Immunoglobulins were detected with serially diluted Goat F(ab’)2 Anti-Human Kappa-FITC)

Goat F(ab')2 Anti-Human kappa (kappa chain specific), Polyclonal Secondary Antibody (Cat# AAA78802)

No reviews yet
Full Name
Goat F(ab')2 Anti-Human Kappa-UNLB
Reactivity
Human
Applications
Western Blot, Flow Cytometry
Purity
Affinity chromatography on pooled human Igs with kappa light chains covalently linked to agarose.
Pricing

Goat F(ab')2 Anti-Human lambda (lambda chain specific), Polyclonal Secondary Antibody (Cat# AAA78807)

No reviews yet
Full Name
Goat F(ab')2 Anti-Human Lambda-PE
Reactivity
Human
Applications
Western Blot, Immunohistochemistry, Immunofluorescence, Immunoblot
Purity
Affinity chromatography on pooled human Igs with lambda light chains covalently linked to agarose.
Pricing
product-image-AAA78810_AD15.jpg Application Data (FliSA plate was coated with purified rat IgM and IgG. Immunoglobulins were detected with serially diluted Goat Anti-Rat IgM-FITC)

Goat Anti-Rat IgM (u chain specific), Polyclonal Secondary Antibody (Cat# AAA78810)

No reviews yet
Full Name
Goat Anti-Rat IgM-HRP
Reactivity
Rat
Applications
ELISA
Purity
Affinity chromatography on pooled rat IgM covalently linked to agarose
Pricing
product-image-AAA78811_AD15.gif Application Data

Goat Anti-Rat IgM (u chain specific), Polyclonal Secondary Antibody (Cat# AAA78811)

No reviews yet
Full Name
Goat Anti-Rat IgM-BIOT
Reactivity
Rat
Applications
Western Blot, Immunohistochemistry, Immunofluorescence, Immunoblot
Purity
Affinity chromatography on rat IgM covalently linked to agarose
Pricing

Goat Anti-Rabbit IgM+IgG (H+L chain specific), Polyclonal Secondary Antibody (Cat# AAA78816)

No reviews yet
Full Name
Goat Anti-Rabbit Ig, Human ads-TRITC
Reactivity
Rabbit
Applications
FLISA
Purity
Affinity chromatography on pooled rabbit IgG covalently linked to agarose
Pricing
product-image-AAA78820_AD15.jpg Application Data (Purified rabbit IgG was resolved by electrophoresis, transferred to PDVF membrane, and visualized using Goat Anti-Rabbit IgG-HRP secondary antibody and chemiluminescent detection.)

Goat anti Rabbit IgG, Polyclonal Secondary Antibody (Cat# AAA78820)

No reviews yet
Full Name
Goat Anti-Rabbit IgG-AP
Reactivity
Rabbit
Applications
Immunohistochemistry, Immunofluorescence, Immunoblot
Purity
Affinity chromatography on rabbit IgG covalently linked to agarose
Pricing
product-image-AAA78844_ELISA15.jpg ELISA

Rabbit Anti-Mouse IgG (H+L), Polyclonal Secondary Antibody (Cat# AAA78844)

No reviews yet
Full Name
Rabbit Anti-Mouse IgG (H+L)-FITC
Reactivity
Mouse
Applications
Western Blot, Immunohistochemistry, Immunofluorescence, Immunoblot
Purity
Affinity chromatography on pooled mouse IgG covalently linked to agarose.
Pricing
product-image-AAA78848_ELISA15.png ELISA (ELISA plate was coated with purified rat IgG and IgM, Immunoglobulins were detected with Rabbit Anti-Rat IgG (H+L) BIOT followed by Streptavidin- HRP)

Rabbit Anti-Rat IgG (H+L), Polyclonal Secondary Antibody (Cat# AAA78848)

No reviews yet
Full Name
Rabbit Anti-Rat IgG (H+L)-HRP
Reactivity
Rat
Purity
Affinity chromatography on pooled rat IgG covalently linked to agarose.
Pricing
product-image-AAA78852_IHC15.jpg IHC (Immunohistochemistry) (Paraffin embedded human gastric cancer tissue was stained with Goat 19G-UNlB isotype control and Goat Anti -Type III Coliagen·UNLB followed by Swine Anti·Goat IgG(H+L), Human/Rat/Mouse SP ads-HRP , DAB, and hematoxylin.)

Swine Anti-Goat IgG (H+L), Polyclonal Secondary Antibody (Cat# AAA78852)

No reviews yet
Full Name
Swine Anti-Goat IgG (H+L), Human/Rat/Mouse ads-FITC
Reactivity
Goat
Applications
FLISA
Purity
Affinity chromatography on goat IgG covalently linked to agarose.
Pricing

Sheep Anti-FITC, Polyclonal Secondary Antibody (Cat# AAA78856)

No reviews yet
Full Name
Sheep Anti-FITC-PE
Applications
Western Blot, Immunohistochemistry, Immunofluorescence, Immunoblot
Purity
Affinity chromatography
Pricing

Goat anti Monkey IgG IgA IgM (Fc specific), Polyclonal Secondary Antibody (Cat# AAA77538)

No reviews yet
Full Name
Goat anti Monkey IgG IgA IgM (Fc specific), conjugated with Horseradish peroxidase
Reactivity
Monkey
Applications
Immunoblot, Dot Blot, Immunohistochemistry, Immunocytochemistry
Pricing

Goat anti Guinea Pig IgG2 (subclass specific), Polyclonal Secondary Antibody (Cat# AAA77547)

No reviews yet
Full Name
Goat anti Guinea Pig IgG2 (subclass specific), conjugated with Horseradish peroxidase
Reactivity
Guinea Pig
Applications
Immunohistochemistry, Immunocytochemistry, Immunoblot, Dot Blot
Pricing

Rabbit anti Duck IgG (heavy and light chains), Polyclonal Secondary Antibody (Cat# AAA77550)

No reviews yet
Full Name
Rabbit anti Duck IgG (heavy and light chains), conjugated with FITC
Applications
Immunofluorescence, Immunohistochemistry, Immunocytochemistry
Pricing

Sheep anti Human IgG (Fc specific), Polyclonal Secondary Antibody (Cat# AAA77557)

No reviews yet
Full Name
Sheep anti Human IgG (Fc specific), conjugated with TRITC
Reactivity
Human
Applications
Immunofluorescence, Immunohistochemistry, Immunocytochemistry
Pricing

Goat anti Guinea Pig IgG2 (subclass specific), Polyclonal Secondary Antibody (Cat# AAA77560)

No reviews yet
Full Name
Goat anti Guinea Pig IgG2 (subclass specific), conjugated with Biotin
Reactivity
Guinea Pig
Applications
Immunoblot, Dot Blot, Immunohistochemistry, Immunocytochemistry
Pricing

Sheep anti Human IgG3 (subclass specific), Polyclonal Secondary Antibody (Cat# AAA77569)

No reviews yet
Full Name
Sheep anti Human IgG3 (subclass specific)
Reactivity
Human
Pricing

Goat anti Dog IgG (Fc specific), Polyclonal Secondary Antibody (Cat# AAA77583)

No reviews yet
Full Name
Goat anti Dog IgG (Fc specific)
Reactivity
Canine
Applications
Immunoblot, Dot Blot, Immunofluorescence
Pricing

Goat anti Mouse IgD (Fc specific), Polyclonal Secondary Antibody (Cat# AAA77584)

No reviews yet
Full Name
Goat anti Mouse IgD (Fc specific)
Reactivity
Mouse
Applications
Immunoblot, Dot Blot, Immunofluorescence
Pricing

Goat Ig anti Human IgA (Fc specific) immunofixation, Polyclonal Secondary Antibody (Cat# AAA77589)

No reviews yet
Full Name
Goat Ig anti Human IgA (Fc specific) immunofixation
Reactivity
Inter-species cross-reactivity is a normal feature of antibodies to mammalian immunoglobulins, since homologous proteins of different species frequently share antigenic determinants. The degree of cross-reactivity is also dependent on the concentrations o
Applications
Immunoprecipitation
Purity
Hyperimmune antisera with strong precipitating activity are selected for fractionation by saltprecipitation and purification of the IgG (7S) fraction by DEAE-chromatography.
Pricing

Rabbit anti Sheep IgM (Fc specific), Polyclonal Secondary Antibody (Cat# AAA77590)

No reviews yet
Full Name
Rabbit anti Sheep IgM (Fc specific), conjugated with Biotin
Reactivity
Sheep
Applications
Immunoblot, Dot Blot, Immunohistochemistry, Immunocytochemistry
Purity
Hyperimmune antisera with strong precipitating activity are selected for purification of the IgG fraction by Protein G chromatography.
Pricing

Goat anti Human Ig lambda light chains (free and bound), Polyclonal Secondary Antibody (Cat# AAA77591)

No reviews yet
Full Name
Goat anti Human Ig lambda light chains (free and bound)
Reactivity
Human
Applications
Immunoblot, Dot Blot, Immunofluorescence
Pricing

Goat anti Monkey IgA (Fc specific), Polyclonal Secondary Antibody (Cat# AAA77602)

No reviews yet
Full Name
Goat anti Monkey IgA (Fc specific), conjugated with Horseradish peroxidase
Reactivity
Monkey
Applications
Immunoblot, Dot Blot, Immunohistochemistry, Immunocytochemistry
Pricing

Rabbit anti Goat IgM (Fc specific), Polyclonal Secondary Antibody (Cat# AAA77604)

No reviews yet
Full Name
Rabbit anti Goat IgM (Fc specific), conjugated with Biotin
Reactivity
Goat
Applications
Immunoblot, Dot Blot, Immunohistochemistry, Immunocytochemistry
Pricing

Goat anti Rat IgE (Fc specific), Polyclonal Secondary Antibody (Cat# AAA77608)

No reviews yet
Full Name
Goat anti Rat IgE (Fc specific)
Reactivity
Rat
Applications
Immunoblot, Dot Blot, Immunofluorescence
Purity
Hyperimmune antisera with strong precipitating activity are selected for fractionation by salt-precipitation and purification of the IgG fraction by DEAE-chromatography.
Pricing
product-image-AAA79069_AD15.jpg Application Data

IgG (H&L), Secondary Antibody (Cat# AAA79069)

No reviews yet
Full Name
Goat anti-Donkey IgG (H&L) - Affinity Pure, DyLight633 Conjugate
Reactivity
Donkey.
Cross Reactivity: Based on IEP, no reactivity is observed to non-immunoglobulin donkey serum immunoglobulins
Applications
Immunoelectron Microscopy, Immunofluorescence, Flow Cytometry
Purity
Affinity purified antibody is > 95% based on SDS-PAGE
Affinity purified using solid phase Donkey IgG.
Pricing

Donkey Anti-Rabbit IgG (H+L), Polyclonal Secondary Antibody (Cat# AAA78864)

No reviews yet
Full Name
Donkey Anti-Rabbit IgG (H+L), Human/Rat/Mouse ads-AP
Reactivity
Mouse, rat, and human serum proteins (SP); may react with immunoglobulins from other species and the light chains of other rabbit immunoglobulins
Applications
FLISA, ELISA
Purity
Affinity chromatography on rabbit IgG covalently linked to agarose
Pricing

Rat Anti-Mouse IgG2b, Monoclonal Secondary Antibody (Cat# AAA78878)

No reviews yet
Full Name
Rat Anti-Mouse IgG2b-HRP
Reactivity
Mouse
Applications
Flow Cytometry
Pricing

What Are Secondary Antibodies?


Secondary antibodies are immunoglobulins that bind to primary antibodies, which are directly bound to the target antigen. They are conjugated with either an enzyme, fluorophore, or biotin, and they are almost always only targeting the constant region (Fc) of the primary antibody. As a result, this amplifies the signal in various assays and helps researchers detect, quantify, and visualize specific antigens in a complex biological sample.


Key Applications of Secondary Antibodies


  • Western blotting for protein detection and quantification.

  • ELISA (Enzyme-Linked Immunosorbent Assay) for antigen-antibody interaction studies and quantification.

  • Immunohistochemistry (IHC) and immunofluorescence imaging for tissue and cell analysis.

  • Flow cytometry for cell surface and intracellular marker detection.

  • Immunoprecipitation (IP) and chromatin immunoprecipitation (ChIP) assays.

  • Signal amplification in various immunoassays.

  • Multiplex assays using fluorophore-conjugated secondary antibodies.


Advantages of Using Secondary Antibodies


  1. High sensitivity


    Multiple secondary antibodies can bind to a single primary antibody and amplify the signal. This is especially useful for detecting antigens even if they are in low concentrations.



  2. Increased flexibility in assay design


    Secondary antibodies come pre-conjugated with labels, such as enzymes, fluorophores, biotin, and more. This provides researchers with flexibility to use in multiple applications. They also support multiplexing for the simultaneous detection of multiple targets.



  3. Cost-effective


    Since the Fc domain remains constant within the same animal class, only one type of secondary antibody is needed to bind many types of primary antibodies. This reduces the cost of labeling multiple primary antibodies.



  4. Better signal-to-noise ratio


    Secondary antibodies minimize the background noise. As a result, they provide clearer and more accurate results.



  5. Versatility


    A single species- and isotype-specific secondary antibody can be used with any compatible primary antibody. This can help streamline reagent inventory and reduce cost and preparation time.



  6. Easier detection


    Unlike primary antibodies, secondary antibodies’ main characteristic is that they will almost always be partnered with a component that can be used for detection. This can make detection and visualization easy.



Why Buy Secondary Antibodies from AAA Biotech?


  • Highly Validated: Most of our secondary antibodies are thoroughly tested to ensure they work reliably across different experiments.

  • Versatile Applications: Our secondary antibodies can be used in a wide range of research techniques, including (but not limited to) immunocytochemistry (ICC), ELISA, immunofluorescence (IF), immunohistochemistry (IHC), flow cytometry (FC), immunoprecipitation (IP), and Western blotting (WB).

  • Support for Rare Species: We offer secondary antibodies specifically designed for rare or less common species—something many other suppliers don’t provide.

  • Affordable Prices: Our secondary antibodies are available at competitive prices to support all research budgets.

  • Quick and Convenient Ordering: Simple online ordering process with responsive customer support.

  • Privacy: We respect your privacy and ensure your information is protected at every step of the ordering process, and in all other communication with our team members.


FAQ


1. Can I reuse a secondary antibody?


Not recommended for critical experiments, as reusing may compromise sensitivity and specificity.


2. What is the difference between primary and secondary antibodies?


Primary antibodies bind directly to the antigen. Secondary antibodies bind to the primary and are usually labeled for detection.


3. How long do secondary antibodies last?


When stored properly (usually at –20°C or 4°C, depending on formulation), they can last for years. Always refer to the product datasheet.


4. What happens if you use too much secondary antibody?


Excess can increase background noise, leading to a poor signal-to-noise ratio. Titrate to find the optimal concentration.


5. Can secondary antibodies be monoclonal?


Yes. While many are polyclonal, monoclonal secondary antibodies are available for consistent batch-to-batch performance.


6. How to find secondary antibodies?


Use our catalog filters to search by host species, conjugate type, target species, and application.


7. How to store secondary antibodies?


Store at recommended temperatures away from light. Avoid repeated freeze-thaw cycles.


Submit a Question

Please complete the form below and a representative will contact you as soon as possible.

Request more Information

Please complete the form below and a representative will contact you as soon as possible.

Request a Manual

Please complete the form below and a representative will contact you as soon as possible.

Request a Quote

Please complete the form below and a representative will contact you as soon as possible.