Rabbit FKBP8 Polyclonal Antibody | anti-FKBP8 antibody
FKBP8 Rabbit Polyclonal Antibody
Gene Names
FKBP8; FKBP38; FKBPr38
Reactivity
Human, Mouse, Rat
Applications
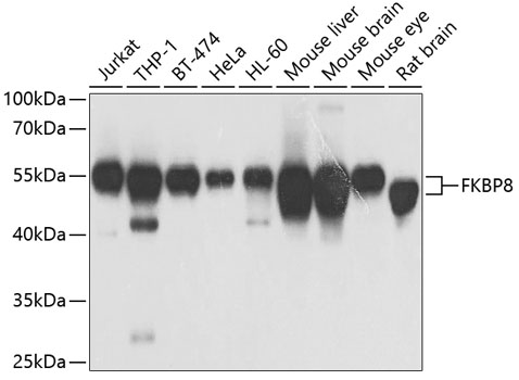
Immunofluorescence, Western Blot
Purity
Affinity purification
Synonyms
FKBP8, Antibody; FKBP8 Rabbit Polyclonal Antibody; FKBP8; FKBP38; FKBPr38; anti-FKBP8 antibody
Host
Rabbit
Reactivity
Human, Mouse, Rat
Clonality
Polyclonal
Isotype
IgG
Purity/Purification
Affinity purification
Form/Format
Buffer: PBS with 0.02% sodium azide, 50% glycerol, pH7.3.
Applicable Applications for anti-FKBP8 antibody
IF (Immunofluorescence), WB (Western Blot)
Immunogen
Recombinant fusion protein of human FKBP8 (NP_036313.3).
Preparation and Storage
Store at -20 degree C. Avoid freeze/thaw cycles.
Related Product Information for anti-FKBP8 antibody
The protein encoded by this gene is a member of the immunophilin protein family, which play a role in immunoregulation and basic cellular processes involving protein folding and trafficking. Unlike the other members of the family, this encoded protein does not seem to have PPIase/rotamase activity. It may have a role in neurons associated with memory function.
Product Categories/Family for anti-FKBP8 antibody
NCBI and Uniprot Product Information
NCBI GI #
NCBI GeneID
Molecular Weight
412
NCBI Official Full Name
Peptidyl-prolyl cis-trans isomerase FKBP8
NCBI Official Synonym Full Names
FK506 binding protein 8, 38kDa
NCBI Official Symbol
FKBP8
NCBI Official Synonym Symbols
FKBP38; FKBPr38
NCBI Protein Information
peptidyl-prolyl cis-trans isomerase FKBP8; FKBP-8; FKBP-38; hFKBP38; rotamase; 38 kDa FKBP; PPIase FKBP8; 38 kDa FK506-binding protein; FK506-binding protein 8 (38kD)
UniProt Protein Name
Peptidyl-prolyl cis-trans isomerase FKBP8
UniProt Gene Name
FKBP8
UniProt Synonym Gene Names
FKBP38; PPIase FKBP8; 38 kDa FKBP; FKBP-38; hFKBP38; FKBP-8
UniProt Entry Name
FKBP8_HUMAN
Customer Reviews
Loading reviews...
Share Your Experience
Similar Products
Product Notes
The FKBP8 fkbp8 (Catalog #AAA313989) is an Antibody produced from Rabbit and is intended for research purposes only. The product is available for immediate purchase. The FKBP8 Rabbit Polyclonal Antibody reacts with Human, Mouse, Rat and may cross-react with other species as described in the data sheet. AAA Biotech's FKBP8 can be used in a range of immunoassay formats including, but not limited to, IF (Immunofluorescence), WB (Western Blot). Researchers should empirically determine the suitability of the FKBP8 fkbp8 for an application not listed in the data sheet. Researchers commonly develop new applications and it is an integral, important part of the investigative research process. It is sometimes possible for the material contained within the vial of "FKBP8, Polyclonal Antibody" to become dispersed throughout the inside of the vial, particularly around the seal of said vial, during shipment and storage. We always suggest centrifuging these vials to consolidate all of the liquid away from the lid and to the bottom of the vial prior to opening. Please be advised that certain products may require dry ice for shipping and that, if this is the case, an additional dry ice fee may also be required.Precautions
All products in the AAA Biotech catalog are strictly for research-use only, and are absolutely not suitable for use in any sort of medical, therapeutic, prophylactic, in-vivo, or diagnostic capacity. By purchasing a product from AAA Biotech, you are explicitly certifying that said products will be properly tested and used in line with industry standard. AAA Biotech and its authorized distribution partners reserve the right to refuse to fulfill any order if we have any indication that a purchaser may be intending to use a product outside of our accepted criteria.Disclaimer
Though we do strive to guarantee the information represented in this datasheet, AAA Biotech cannot be held responsible for any oversights or imprecisions. AAA Biotech reserves the right to adjust any aspect of this datasheet at any time and without notice. It is the responsibility of the customer to inform AAA Biotech of any product performance issues observed or experienced within 30 days of receipt of said product. To see additional details on this or any of our other policies, please see our Terms & Conditions page.Item has been added to Shopping Cart
If you are ready to order, navigate to Shopping Cart and get ready to checkout.
