Rabbit anti-Human, Rat SIRT1 Polyclonal Antibody | anti-SIRT1 antibody
SIRT1 Polyclonal Antibody
Gene Names
SIRT1; SIR2L1
Reactivity
Human, Rat
Applications
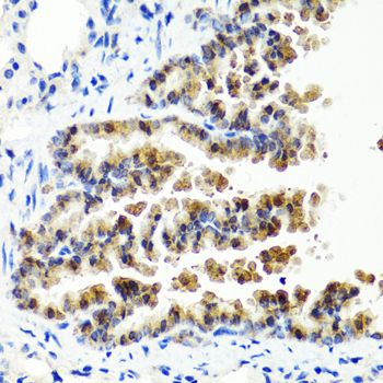
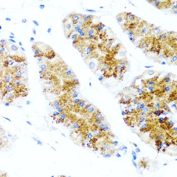
Chromatin Immunoprecipitation, Immunoprecipitation, Immunoprecipitation, Immunofluorescence, Immunohistochemistry, Western Blot
Purity
Affinity Purification
Synonyms
SIRT1, Antibody; SIRT1 Polyclonal Antibody; SIRT1; SIR2L1; anti-SIRT1 antibody
Host
Rabbit
Reactivity
Human, Rat
Clonality
Polyclonal
Isotype
IgG
Purity/Purification
Affinity Purification
Concentration
1mg/ml (varies by lot)
Sequence Length
747
Applicable Applications for anti-SIRT1 antibody
ChIP (Chromatin immunoprecipitation), IP (Immunoprecipitation), IF (Immunofluorescence), IHC (Immunohistochemistry), WB (Western Blot)
Species
Human
Route
Synthetic Peptide
Immunogen
C term -peptide of human SIRT1
Calculated Molecular Weight
82kDa
Preparation and Storage
Store at -20 degree C (regular) or -80 degree C (long term). Avoid freeze / thaw cycles.
Buffer: PBS with 0.02% sodium azide, 50% glycerol, pH7.3.
Buffer: PBS with 0.02% sodium azide, 50% glycerol, pH7.3.
Related Product Information for anti-SIRT1 antibody
The Silent Information Regulator (SIR2) family of genes is a highly conserved group of genes that encode nicotinamide adenine dinucleotide (NAD)-dependent protein deacetylases, also known as class III histone deacetylases. The first discovered and best characterized of these genes is Saccharomyces cerevisiae SIR2, which is involved in silencing of mating type loci, telomere maintenance, DNA damage response, and cell aging (1). SirT1, the mammalian ortholog of Sir2, is a nuclear protein implicated in the regulation of many cellular processes, including apoptosis, cellular senescence, endocrine signaling, glucose homeostasis, aging, and longevity. Targets of SirT1 include acetylated p53 (2,3), p300 (4), Ku70 (5), forkhead (FoxO) transcription factors (5,6), PPARgamma (7), and the PPARgamma coactivator-1alpha (PGC-1alpha) protein (8). Deacetylation of p53 and FoxO transcription factors represses apoptosis and increases cell survival (2,3,5,6). Deacetylation of PPARgamma and PGC-1alpha regulates the gluconeogenic/glycolytic pathways in the liver and fat mobilization in white adipocytes in response to fasting (7,8). SirT1 deacetylase activity is inhibited by nicotinamide and activated by resveratrol. In addition, SirT1 activity may be regulated by phosphorylation, since it is phosphorylated on Ser27 and Ser47 in vivo, however, the function of these phosphorylation sites has not yet been determined (9).
Product Categories/Family for anti-SIRT1 antibody
NCBI and Uniprot Product Information
NCBI GI #
NCBI GeneID
Molecular Weight
747
NCBI Official Full Name
NAD-dependent protein deacetylase sirtuin-1
NCBI Official Synonym Full Names
sirtuin 1
NCBI Official Symbol
SIRT1
NCBI Official Synonym Symbols
SIR2L1
NCBI Protein Information
NAD-dependent protein deacetylase sirtuin-1; hSIR2; hSIRT1; SIR2alpha; sir2-like 1; sirtuin type 1; SIR2-like protein 1; regulatory protein SIR2 homolog 1; NAD-dependent deacetylase sirtuin-1
UniProt Protein Name
NAD-dependent protein deacetylase sirtuin-1
UniProt Gene Name
SIRT1
UniProt Synonym Gene Names
SIR2L1; hSIRT1; hSIR2; 75SirT1
UniProt Entry Name
SIR1_HUMAN
Customer Reviews
Loading reviews...
Share Your Experience
Similar Products
Product Notes
The SIRT1 sirt1 (Catalog #AAA36782) is an Antibody produced from Rabbit and is intended for research purposes only. The product is available for immediate purchase. The SIRT1 Polyclonal Antibody reacts with Human, Rat and may cross-react with other species as described in the data sheet. AAA Biotech's SIRT1 can be used in a range of immunoassay formats including, but not limited to, ChIP (Chromatin immunoprecipitation), IP (Immunoprecipitation), IF (Immunofluorescence), IHC (Immunohistochemistry), WB (Western Blot). Researchers should empirically determine the suitability of the SIRT1 sirt1 for an application not listed in the data sheet. Researchers commonly develop new applications and it is an integral, important part of the investigative research process. It is sometimes possible for the material contained within the vial of "SIRT1, Polyclonal Antibody" to become dispersed throughout the inside of the vial, particularly around the seal of said vial, during shipment and storage. We always suggest centrifuging these vials to consolidate all of the liquid away from the lid and to the bottom of the vial prior to opening. Please be advised that certain products may require dry ice for shipping and that, if this is the case, an additional dry ice fee may also be required.Precautions
All products in the AAA Biotech catalog are strictly for research-use only, and are absolutely not suitable for use in any sort of medical, therapeutic, prophylactic, in-vivo, or diagnostic capacity. By purchasing a product from AAA Biotech, you are explicitly certifying that said products will be properly tested and used in line with industry standard. AAA Biotech and its authorized distribution partners reserve the right to refuse to fulfill any order if we have any indication that a purchaser may be intending to use a product outside of our accepted criteria.Disclaimer
Though we do strive to guarantee the information represented in this datasheet, AAA Biotech cannot be held responsible for any oversights or imprecisions. AAA Biotech reserves the right to adjust any aspect of this datasheet at any time and without notice. It is the responsibility of the customer to inform AAA Biotech of any product performance issues observed or experienced within 30 days of receipt of said product. To see additional details on this or any of our other policies, please see our Terms & Conditions page.Item has been added to Shopping Cart
If you are ready to order, navigate to Shopping Cart and get ready to checkout.
