Rabbit anti-Human MED4 Polyclonal Antibody | anti-MED4 antibody
MED4 Antibody
Gene Names
MED4; ARC36; VDRIP; DRIP36; TRAP36; HSPC126
Reactivity
Human
Applications
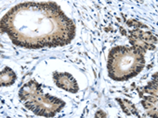
Immunohistochemistry
Purity
Antigen Affinity Purification
Synonyms
MED4, Antibody; MED4 Antibody; ARC36; VDRIP; DRIP36; TRAP36; HSPC126; anti-MED4 antibody
Host
Rabbit
Reactivity
Human
Clonality
Polyclonal
Specificity
The antibody detects endogenous levels of total MED4 protein.
Purity/Purification
Antigen Affinity Purification
Form/Format
Rabbit IgG in pH7.4 PBS, 0.05% NaN3, 40% Glycerol.
Concentration
1.3 mg/ml (varies by lot)
Sequence Length
224
Applicable Applications for anti-MED4 antibody
IHC (Immunohistochemistry)
Immunogen
Full length fusion protein of human MED4
Immunogen Type
Protein
Preparation and Storage
Store at -20 degree C
Related Product Information for anti-MED4 antibody
This gene encodes a component of the Mediator complex. The Mediator complex interacts with DNA-binding gene-specific transcription factors to modulate transcription by RNA polymerase II. Alternatively spliced transcript variants encoding multiple isoformshave been observed for this gene.
Product Categories/Family for anti-MED4 antibody
NCBI and Uniprot Product Information
NCBI GI #
NCBI GeneID
NCBI Accession #
NCBI GenBank Nucleotide #
Molecular Weight
24,947 Da
NCBI Official Full Name
mediator of RNA polymerase II transcription subunit 4 isoform 2
NCBI Official Synonym Full Names
mediator complex subunit 4
NCBI Official Symbol
MED4
NCBI Official Synonym Symbols
ARC36; VDRIP; DRIP36; TRAP36; HSPC126
NCBI Protein Information
mediator of RNA polymerase II transcription subunit 4
UniProt Protein Name
Mediator of RNA polymerase II transcription subunit 4
UniProt Gene Name
MED4
UniProt Synonym Gene Names
ARC36; DRIP36; VDRIP; ARC36; DRIP36
UniProt Entry Name
MED4_HUMAN
Customer Reviews
Loading reviews...
Share Your Experience
Similar Products
Product Notes
The MED4 med4 (Catalog #AAA309108) is an Antibody produced from Rabbit and is intended for research purposes only. The product is available for immediate purchase. The MED4 Antibody reacts with Human and may cross-react with other species as described in the data sheet. AAA Biotech's MED4 can be used in a range of immunoassay formats including, but not limited to, IHC (Immunohistochemistry). Researchers should empirically determine the suitability of the MED4 med4 for an application not listed in the data sheet. Researchers commonly develop new applications and it is an integral, important part of the investigative research process. It is sometimes possible for the material contained within the vial of "MED4, Polyclonal Antibody" to become dispersed throughout the inside of the vial, particularly around the seal of said vial, during shipment and storage. We always suggest centrifuging these vials to consolidate all of the liquid away from the lid and to the bottom of the vial prior to opening. Please be advised that certain products may require dry ice for shipping and that, if this is the case, an additional dry ice fee may also be required.Precautions
All products in the AAA Biotech catalog are strictly for research-use only, and are absolutely not suitable for use in any sort of medical, therapeutic, prophylactic, in-vivo, or diagnostic capacity. By purchasing a product from AAA Biotech, you are explicitly certifying that said products will be properly tested and used in line with industry standard. AAA Biotech and its authorized distribution partners reserve the right to refuse to fulfill any order if we have any indication that a purchaser may be intending to use a product outside of our accepted criteria.Disclaimer
Though we do strive to guarantee the information represented in this datasheet, AAA Biotech cannot be held responsible for any oversights or imprecisions. AAA Biotech reserves the right to adjust any aspect of this datasheet at any time and without notice. It is the responsibility of the customer to inform AAA Biotech of any product performance issues observed or experienced within 30 days of receipt of said product. To see additional details on this or any of our other policies, please see our Terms & Conditions page.Item has been added to Shopping Cart
If you are ready to order, navigate to Shopping Cart and get ready to checkout.
