Rabbit ERO1LB Polyclonal Antibody | anti-ERO1LB antibody
ERO1LB Antibody
Phosphate buffered saline, pH 7.4, 150mM NaCl, 0.02% sodium azide and 50% glycerol.
IHC (Immunohistochemistry)
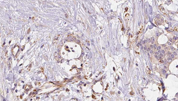
(AAA323023 at 1/100 staining Human liver cancer tissue by IHC-P. The sample was formaldehyde fixed and a heat mediated antigen retrieval step in citrate buffer was performed. The sample was then blocked and incubated with the antibody for 1.5 hours at 22 degree C. An HRP conjugated goat anti-rabbit antibody was used as the secondary.)
Subunit Structure: Homodimer; disulfide-linked. Heterodimer with ERO1A; disulfide-linked. Also detected as monomer. Homodimers may be somewhat less active than monomers. Interacts with P4HB. Interacts with ERP44.
Post-translational Modifications: N-glycosylated. The Cys-90/Cys-95 and Cys-393/Cys-396 disulfide bonds constitute the redox-active center. The Cys-90/Cys-95 disulfide bond accepts electron from P4HB and funnel them to the active site disulfide Cys-393/Cys-396. The Cys-81/Cys-390 disulfide bond may be critical for structural stability. Two long-range disulfide bonds participate in loose feedback regulation. The Cys-90/Cys-130 disulfide bond may be the predominant regulatory switch to modulate the catalytic activity, while the Cys-100/Cys-262 disulfide bond may play an auxiliary regulatory role.
Similarity: Belongs to the EROs family.
NCBI and Uniprot Product Information
Predicted: 54 kDa
Similar Products
Product Notes
The ERO1LB ero1b (Catalog #AAA323023) is an Antibody produced from Rabbit and is intended for research purposes only. The product is available for immediate purchase. The ERO1LB Antibody reacts with Human, Mouse, Rat and may cross-react with other species as described in the data sheet. AAA Biotech's ERO1LB can be used in a range of immunoassay formats including, but not limited to, IHC (Immunohistochemistry), WB (Western Blot). Researchers should empirically determine the suitability of the ERO1LB ero1b for an application not listed in the data sheet. Researchers commonly develop new applications and it is an integral, important part of the investigative research process. It is sometimes possible for the material contained within the vial of "ERO1LB, Polyclonal Antibody" to become dispersed throughout the inside of the vial, particularly around the seal of said vial, during shipment and storage. We always suggest centrifuging these vials to consolidate all of the liquid away from the lid and to the bottom of the vial prior to opening. Please be advised that certain products may require dry ice for shipping and that, if this is the case, an additional dry ice fee may also be required.Precautions
All products in the AAA Biotech catalog are strictly for research-use only, and are absolutely not suitable for use in any sort of medical, therapeutic, prophylactic, in-vivo, or diagnostic capacity. By purchasing a product from AAA Biotech, you are explicitly certifying that said products will be properly tested and used in line with industry standard. AAA Biotech and its authorized distribution partners reserve the right to refuse to fulfill any order if we have any indication that a purchaser may be intending to use a product outside of our accepted criteria.Disclaimer
Though we do strive to guarantee the information represented in this datasheet, AAA Biotech cannot be held responsible for any oversights or imprecisions. AAA Biotech reserves the right to adjust any aspect of this datasheet at any time and without notice. It is the responsibility of the customer to inform AAA Biotech of any product performance issues observed or experienced within 30 days of receipt of said product. To see additional details on this or any of our other policies, please see our Terms & Conditions page.Item has been added to Shopping Cart
If you are ready to order, navigate to Shopping Cart and get ready to checkout.
