Rabbit Dihydrofolate reductase Polyclonal Antibody | anti-DHFR antibody
Anti-DHFR Antibody
Each vial contains 5mg BSA, 0.9mg NaCl, 0.2mg Na2HPO4, 0.05mg NaN3.
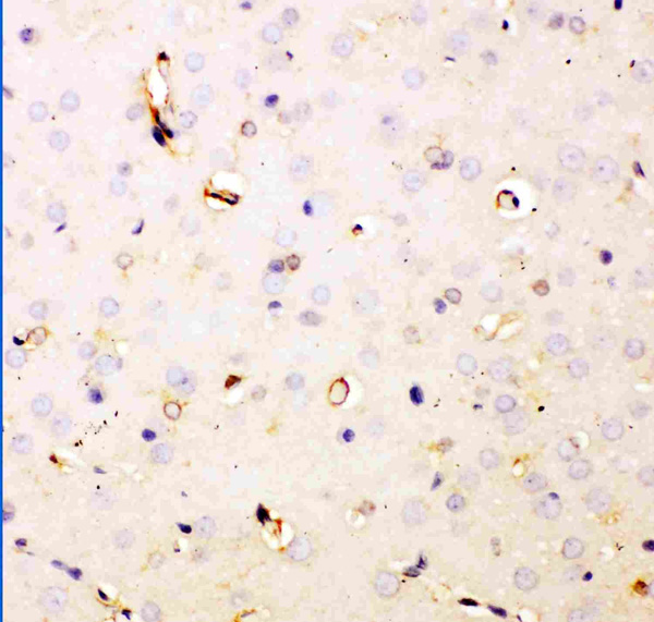
IHC (Immunohistochemistry)
(Anti- DHFR Picoband antibody, AAA46081,IHC(P)IHC(P): Human Lung Cancer Tissue)
WB (Western Blot)
(Anti- DHFR Picoband antibody, AAA46081, Western blottingAll lanes: Anti DHFR (AAA46081) at 0.5ug/mlLane 1: Rat Liver Tissue Lysate at 50ugLane 2: Mouse Liver Tissue Lysate at 50ugLane 3: HepG2 Whole Cell Lysate at 40ugLane 4: Jurkat Whole Cell Lysate at 40ugPredicted bind size: 21KDObserved bind size: 21KD)
WB (Western Blot)
(Anti- DHFR Picoband antibody, AAA46081, Western blottingAll lanes: Anti DHFR (AAA46081) at 0.5ug/mlWB: Recombinant Human DHFR Protein 0.5ngPredicted bind size: 32KDObserved bind size: 32KD)
Background: Dihydrofolate reductase, or DHFR, is an enzyme that reduces dihydrofolic acid to tetrahydrofolic acid, using NADPH as electron donor, which can be converted to the kinds of tetrahydrofolate cofactors used in 1-carbon transfer chemistry. In humans, the DHFR enzyme is encoded by the DHFR gene. It is found in the q11-->q22 region of chromosome 5. What's more, DHFR belongs to the dihydrofolate reductase family, and it converts dihydrofolate into tetrahydrofolate, a methyl group shuttle required for the de novo synthesis of purines, thymidylic acid, and certain amino acids. DHFR is the key enzyme in folate metabolism. In addition, DHFR catalyzes an essential reaction for de novo glycine and purine synthesis, and for DNA precursor synthesis.
NCBI and Uniprot Product Information
Customer Reviews
Loading reviews...
Share Your Experience
Similar Products
Product Notes
The DHFR dhfr (Catalog #AAA46081) is an Antibody produced from Rabbit and is intended for research purposes only. The product is available for immediate purchase. The Anti-DHFR Antibody reacts with Human, Mouse, Rat. No cross reactivity with other proteins. and may cross-react with other species as described in the data sheet. AAA Biotech's Dihydrofolate reductase can be used in a range of immunoassay formats including, but not limited to, IHC (Immunohistochemistry), WB (Western Blot). Researchers should empirically determine the suitability of the DHFR dhfr for an application not listed in the data sheet. Researchers commonly develop new applications and it is an integral, important part of the investigative research process. It is sometimes possible for the material contained within the vial of "Dihydrofolate reductase, Polyclonal Antibody" to become dispersed throughout the inside of the vial, particularly around the seal of said vial, during shipment and storage. We always suggest centrifuging these vials to consolidate all of the liquid away from the lid and to the bottom of the vial prior to opening. Please be advised that certain products may require dry ice for shipping and that, if this is the case, an additional dry ice fee may also be required.Precautions
All products in the AAA Biotech catalog are strictly for research-use only, and are absolutely not suitable for use in any sort of medical, therapeutic, prophylactic, in-vivo, or diagnostic capacity. By purchasing a product from AAA Biotech, you are explicitly certifying that said products will be properly tested and used in line with industry standard. AAA Biotech and its authorized distribution partners reserve the right to refuse to fulfill any order if we have any indication that a purchaser may be intending to use a product outside of our accepted criteria.Disclaimer
Though we do strive to guarantee the information represented in this datasheet, AAA Biotech cannot be held responsible for any oversights or imprecisions. AAA Biotech reserves the right to adjust any aspect of this datasheet at any time and without notice. It is the responsibility of the customer to inform AAA Biotech of any product performance issues observed or experienced within 30 days of receipt of said product. To see additional details on this or any of our other policies, please see our Terms & Conditions page.Item has been added to Shopping Cart
If you are ready to order, navigate to Shopping Cart and get ready to checkout.
