Rabbit CIITA Polyclonal Antibody | anti-CIITA antibody
Anti-CIITA Antibody
IHC (Immunohistochemistry)
(CIITA was detected in paraffin-embedded sections of human intestinal cancer tissues using rabbit anti- CIITA Antigen Affinity purified polyclonal antibody at 1 ug/mL. The immunohistochemical section was developed using SABC method.)
IHC (Immunohistochemisry)
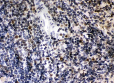
(CIITA was detected in paraffin-embedded sections of rat spleen tissues using rabbit anti- CIITA Antigen Affinity purified polyclonal antibody at 1ug/mL. The immunohistochemical section was developed using SABC method.)
IHC (Immunohiostchemistry)
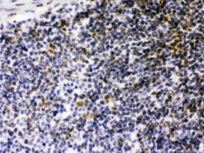
(CIITA was detected in paraffin-embedded sections of mouse spleen tissues using rabbit anti- CIITA Antigen Affinity purified polyclonal antibody at 1ug/mL. The immunohistochemical section was developed using SABC method.)
WB (Western Blot)
(Western blot analysis of CIITA expression in rat thymus extract (lane 1), mouse thymus extract (lane 2) and MCF-7 whole cell lysates (lane 3). CIITA at 123KD was detected using rabbit anti- CIITA Antigen Affinity purified polyclonal antibody at 0.5ug/mL. The blot was developed using chemiluminescence (ECL) method.)
Background: CIITA is a human gene which is mapped to 16p13. This gene encodes a protein with an acidic transcriptional activation domain, 4 LRRs (leucine-rich repeats) and a GTP binding domain. The protein is located in the nucleus and acts as a positive regulator of class II major histocompatibility complex gene transcription, and is referred to as the "master control factor" for the expression of these genes. Also, the protein binds GTP and uses GTP binding to facilitate its own transport into the nucleus. Once in the nucleus it does not bind DNA but rather uses an intrinsic acetyltransferase (AT) activity to act in a coactivator-like fashion. Mutations in this gene have been associated with bare lymphocyte syndrome type II (also known as hereditary MHC class II deficiency or HLA class II-deficient combined immunodeficiency), increased susceptibility to rheumatoid arthritis, multiple sclerosis, and possibly myocardial infarction. Several transcript variants encoding different isoforms have been found for this gene.
2. Steidl C, Shah SP, Woolcock BW, Rui L, Kawahara M, Farinha P, Johnson NA, Zhao Y, Telenius A, Neriah SB, McPherson A, Meissner B, Okoye UC, Diepstra A, van den Berg A, Sun M, Leung G, Jones SJ, Connors JM, Huntsman DG, Savage KJ, Rimsza LM, Horsman DE, Staudt LM, Steidl U, Marra MA, Gascoyne RD (Mar 2011). "MHC class II transactivator CIITA is a recurrent gene fusion partner in lymphoid cancers". Nature 471 (7338): 377-81.
NCBI and Uniprot Product Information
Customer Reviews
Loading reviews...
Share Your Experience
Similar Products
Product Notes
The CIITA ciita (Catalog #AAA46642) is an Antibody produced from Rabbit and is intended for research purposes only. The product is available for immediate purchase. The Anti-CIITA Antibody reacts with Human, Mouse, Rat and may cross-react with other species as described in the data sheet. AAA Biotech's CIITA can be used in a range of immunoassay formats including, but not limited to, IHC (Immunohistochemistry), WB (Western Blot). Researchers should empirically determine the suitability of the CIITA ciita for an application not listed in the data sheet. Researchers commonly develop new applications and it is an integral, important part of the investigative research process. It is sometimes possible for the material contained within the vial of "CIITA, Polyclonal Antibody" to become dispersed throughout the inside of the vial, particularly around the seal of said vial, during shipment and storage. We always suggest centrifuging these vials to consolidate all of the liquid away from the lid and to the bottom of the vial prior to opening. Please be advised that certain products may require dry ice for shipping and that, if this is the case, an additional dry ice fee may also be required.Precautions
All products in the AAA Biotech catalog are strictly for research-use only, and are absolutely not suitable for use in any sort of medical, therapeutic, prophylactic, in-vivo, or diagnostic capacity. By purchasing a product from AAA Biotech, you are explicitly certifying that said products will be properly tested and used in line with industry standard. AAA Biotech and its authorized distribution partners reserve the right to refuse to fulfill any order if we have any indication that a purchaser may be intending to use a product outside of our accepted criteria.Disclaimer
Though we do strive to guarantee the information represented in this datasheet, AAA Biotech cannot be held responsible for any oversights or imprecisions. AAA Biotech reserves the right to adjust any aspect of this datasheet at any time and without notice. It is the responsibility of the customer to inform AAA Biotech of any product performance issues observed or experienced within 30 days of receipt of said product. To see additional details on this or any of our other policies, please see our Terms & Conditions page.Item has been added to Shopping Cart
If you are ready to order, navigate to Shopping Cart and get ready to checkout.
