Loading...

Skip to main content
Call us at +1-800-604-9114 for more information about our products or contact us online Need help? +1-800-604-9114 or contact us
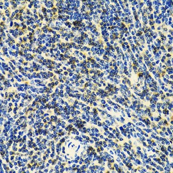
product-image-AAA36993_IHC11.jpg IHC (Immunohistochemisry) (Immunohistochemistry of paraffin-embedded human tonsil using CD3E antibody at dilution of 1:100 (40x lens).)

Rabbit CD3E Polyclonal Antibody | anti-CD3E antibody

CD3E Polyclonal Antibody

Gene Names
CD3E; T3E; TCRE; IMD18
Reactivity
Human, Mouse, Rat
Applications
Immunofluorescence, Immunohistochemistry, Western Blot
Purity
Affinity Purification
Synonyms
CD3E, Antibody; CD3E Polyclonal Antibody; CD3epsilon; FLJ18683; T3E; TCRE; anti-CD3E antibody
Ordering
Host
Rabbit
Reactivity
Human, Mouse, Rat
Clonality
Polyclonal
Isotype
IgG
Purity/Purification
Affinity Purification
Concentration
1mg/ml (varies by lot)
Sequence Length
207
Applicable Applications for anti-CD3E antibody
IF (Immunofluorescence), IHC (Immunohistochemistry), WB (Western Blot)
Species
Human
Immunogen
Recombinant Protein
Immunogen
Recombinant protein of human CD3E
Calculated Molecular Weight
23kDa
Preparation and Storage
Store at -20 degree C (regular) or -80 degree C (long term). Avoid freeze / thaw cycles.
Buffer: PBS with 0.02% sodium azide, 50% glycerol, pH7.3.

IHC (Immunohistochemisry)

(Immunohistochemistry of paraffin-embedded human tonsil using CD3E antibody at dilution of 1:100 (40x lens).)

product-image-AAA36993_IHC11.jpg IHC (Immunohistochemisry) (Immunohistochemistry of paraffin-embedded human tonsil using CD3E antibody at dilution of 1:100 (40x lens).)

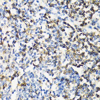
IHC (Immunohiostchemistry)

(Immunohistochemistry of paraffin-embedded rat spleen using CD3E antibody at dilution of 1:100 (40x lens).)

product-image-AAA36993_IHC13.jpg IHC (Immunohiostchemistry) (Immunohistochemistry of paraffin-embedded rat spleen using CD3E antibody at dilution of 1:100 (40x lens).)

WB (Western Blot)

(Western blot analysis of extracts of various cell lines, using CD3E Antibody at 1:1000 dilution.Secondary antibody: HRP Goat Anti-Rabbit IgG (H+L) at 1:10000 dilution.Lysates/proteins: 25ug per lane.Blocking buffer: 3% nonfat dry milk in TBST.Detection: ECL Basic Kit.Exposure time: 5s.)

product-image-AAA36993_WB15.jpg WB (Western Blot) (Western blot analysis of extracts of various cell lines, using CD3E Antibody at 1:1000 dilution.Secondary antibody: HRP Goat Anti-Rabbit IgG (H+L) at 1:10000 dilution.Lysates/proteins: 25ug per lane.Blocking buffer: 3% nonfat dry milk in TBST.Detection: ECL Basic Kit.Exposure time: 5s.)
Related Product Information for anti-CD3E antibody
When T cells encounter antigens via the T cell receptor (TCR), information about the quantity and quality of antigens is relayed to the intracellular signal transduction machinery (1). This activation process depends mainly on CD3 (Cluster of Differentiation 3), a multiunit protein complex that directly associates with the TCR. CD3 is composed of four polypeptides: zeta, gamma, epsilon and delta. Each of these polypeptides contains at least one immunoreceptor tyrosine-based activation motif (ITAM) (2). Engagement of TCR complex with foreign antigens induces tyrosine phosphorylation in the ITAM motifs and phosphorylated ITAMs function as docking sites for signaling molecules such as ZAP-70 and p85 subunit of PI-3 kinase (3,4). TCR ligation also induces a conformational change in CD3epsilon, such that a proline-region is exposed and then associates with the adapter protein Nck (5).
Product Categories/Family for anti-CD3E antibody

NCBI and Uniprot Product Information

NCBI GI #
NCBI GeneID
916
UniProt Accession #
Molecular Weight
207
NCBI Official Full Name
T-cell surface glycoprotein CD3 epsilon chain
NCBI Official Synonym Full Names
CD3e molecule, epsilon (CD3-TCR complex)
NCBI Official Symbol
CD3E
NCBI Official Synonym Symbols
T3E; TCRE; IMD18
NCBI Protein Information
T-cell surface glycoprotein CD3 epsilon chain; CD3-epsilon; T-cell surface antigen T3/Leu-4 epsilon chain; CD3e antigen, epsilon polypeptide (TiT3 complex); T-cell antigen receptor complex, epsilon subunit of T3
UniProt Protein Name
T-cell surface glycoprotein CD3 epsilon chain
UniProt Gene Name
CD3E
UniProt Synonym Gene Names
T3E
UniProt Entry Name
CD3E_HUMAN

Similar Products

Product Notes

The CD3E cd3e (Catalog #AAA36993) is an Antibody produced from Rabbit and is intended for research purposes only. The product is available for immediate purchase. The CD3E Polyclonal Antibody reacts with Human, Mouse, Rat and may cross-react with other species as described in the data sheet. AAA Biotech's CD3E can be used in a range of immunoassay formats including, but not limited to, IF (Immunofluorescence), IHC (Immunohistochemistry), WB (Western Blot). Researchers should empirically determine the suitability of the CD3E cd3e for an application not listed in the data sheet. Researchers commonly develop new applications and it is an integral, important part of the investigative research process. It is sometimes possible for the material contained within the vial of "CD3E, Polyclonal Antibody" to become dispersed throughout the inside of the vial, particularly around the seal of said vial, during shipment and storage. We always suggest centrifuging these vials to consolidate all of the liquid away from the lid and to the bottom of the vial prior to opening. Please be advised that certain products may require dry ice for shipping and that, if this is the case, an additional dry ice fee may also be required.

Precautions

All products in the AAA Biotech catalog are strictly for research-use only, and are absolutely not suitable for use in any sort of medical, therapeutic, prophylactic, in-vivo, or diagnostic capacity. By purchasing a product from AAA Biotech, you are explicitly certifying that said products will be properly tested and used in line with industry standard. AAA Biotech and its authorized distribution partners reserve the right to refuse to fulfill any order if we have any indication that a purchaser may be intending to use a product outside of our accepted criteria.

Disclaimer

Though we do strive to guarantee the information represented in this datasheet, AAA Biotech cannot be held responsible for any oversights or imprecisions. AAA Biotech reserves the right to adjust any aspect of this datasheet at any time and without notice. It is the responsibility of the customer to inform AAA Biotech of any product performance issues observed or experienced within 30 days of receipt of said product. To see additional details on this or any of our other policies, please see our Terms & Conditions page.

Item has been added to Shopping Cart

If you are ready to order, navigate to Shopping Cart and get ready to checkout.

Submit a Question

Please complete the form below and a representative will contact you as soon as possible.

Request more Information

Please complete the form below and a representative will contact you as soon as possible.

Request a Manual

Please complete the form below and a representative will contact you as soon as possible.

Request a Quote

Please complete the form below and a representative will contact you as soon as possible.