Rabbit APEX nuclease (Multifunctional DNA repair enzyme) 1 Polyclonal Antibody | anti-APEX1 antibody
Anti-APE1 Antibody
Each vial contains 5mg BSA, 0.9mg NaCl, 0.2mg Na2HPO4, 0.05mg NaN3.
IHC (Immunohistochemisry)
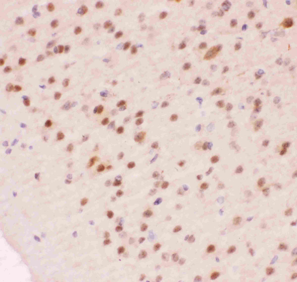
(Anti-APE1 Picoband antibody, AAA46055-3.JPGIHC(P): Human Lung Cancer Tissue)
Application Data
(Anti-APE1 Picoband antibody, AAA46055-2.jpgAll lanes: Anti APEX1 (AAA46055) at 0.5ug/mlLane 1: NRK Whole Cell Lysate at 40ugLane 2: HELA Whole Cell Lysate at 40ugLane 3: PC-12 Whole Cell Lysate at 40ugLane 4: RH35 Whole Cell Lysate at 40ugLane 5: HEPA Whole Cell Lysate at 40ugLane 6: MCF Whole Cell Lysate at 40ugLane 7: A549 Whole Cell Lysate at 40ugLane 8: Human Placenta Tissue Lysate at 50ugLane 9: A431 Whole Cell Lysate at 40ugPredicted bind size: 39KDObserved bind size: 39KD)
Application Data
(Anti-APE1 Picoband antibody, AAA46055-1.jpgAll lanes: Anti APEX1 (AAA46055) at 0.5ug/mlWB: Recombinant Human APEX1 Protein 0.5ngPredicted bind size: 45KDObserved bind size: 45KD)
Background: APEX1, also called apurinic endonuclease (APE), is a DNA repair enzyme having apurinic/apyrimidinic (AP) endonuclease, 3-prime, 5-prime-exonuclease, DNA 3-prime repair diesterase, and DNA 3-prime-phosphatase activities. The human APEX1 gene consists of 5 exons spanning 2.64 kb and exists as a single copy in the haploid genome. Using in situ hybridization, the APEX1 gene is mapped to 14q11.2-q12. The predicted APEX1 protein, which contained probable nuclear transport signals, was identified as a member of a family of DNA repair enzymes found in lower organisms. The abundance of the large form of APEX1 was increased in leiomyoma extracts relative to myometrial tissue extracts, and the large form was dominant in cell lines derived from leiomyosarcomas. The exonuclease activity of nuclear APEX1 can remove the anti-HIV nucleoside analogs AZT and D4T from the 3-prime terminus of a nick more efficiently than can cytosolic exonucleases.
NCBI and Uniprot Product Information
Customer Reviews
Loading reviews...
Share Your Experience
Similar Products
Product Notes
The APEX1 apex1 (Catalog #AAA46055) is an Antibody produced from Rabbit and is intended for research purposes only. The product is available for immediate purchase. The Anti-APE1 Antibody reacts with Human, Mouse, Rat. No cross reactivity with other proteins. and may cross-react with other species as described in the data sheet. AAA Biotech's APEX nuclease (Multifunctional DNA repair enzyme) 1 can be used in a range of immunoassay formats including, but not limited to, IHC (Immunohistochemistry), WB (Western Blot). Researchers should empirically determine the suitability of the APEX1 apex1 for an application not listed in the data sheet. Researchers commonly develop new applications and it is an integral, important part of the investigative research process. It is sometimes possible for the material contained within the vial of "APEX nuclease (Multifunctional DNA repair enzyme) 1, Polyclonal Antibody" to become dispersed throughout the inside of the vial, particularly around the seal of said vial, during shipment and storage. We always suggest centrifuging these vials to consolidate all of the liquid away from the lid and to the bottom of the vial prior to opening. Please be advised that certain products may require dry ice for shipping and that, if this is the case, an additional dry ice fee may also be required.Precautions
All products in the AAA Biotech catalog are strictly for research-use only, and are absolutely not suitable for use in any sort of medical, therapeutic, prophylactic, in-vivo, or diagnostic capacity. By purchasing a product from AAA Biotech, you are explicitly certifying that said products will be properly tested and used in line with industry standard. AAA Biotech and its authorized distribution partners reserve the right to refuse to fulfill any order if we have any indication that a purchaser may be intending to use a product outside of our accepted criteria.Disclaimer
Though we do strive to guarantee the information represented in this datasheet, AAA Biotech cannot be held responsible for any oversights or imprecisions. AAA Biotech reserves the right to adjust any aspect of this datasheet at any time and without notice. It is the responsibility of the customer to inform AAA Biotech of any product performance issues observed or experienced within 30 days of receipt of said product. To see additional details on this or any of our other policies, please see our Terms & Conditions page.Item has been added to Shopping Cart
If you are ready to order, navigate to Shopping Cart and get ready to checkout.
