Rabbit anti-Human, Mouse AKAP13 Polyclonal Antibody | anti-AKAP13 antibody
AKAP13 Antibody
Phosphate buffered saline, pH 7.4, 150mM NaCl, 0.02% sodium azide and 50% glycerol.
WB (Western Blot)
(Western blot analysis of extracts from Jurkat cells using AKAP13 antibody.The lane on the left is treated with the antigen-specific peptide.)
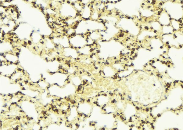
IHC (Immunohiostchemistry)
(AAA323951 at 1/100 staining Mouse lung tissue by IHC-P. The sample was formaldehyde fixed and a heat mediated antigen retrieval step in citrate buffer was performed. The sample was then blocked and incubated with the antibody for 1.5 hours at 22 degree C. An HRP conjugated goat anti-rabbit antibody was used as the secondary.)
IF (Immunofluorescence)
(AAA323951 staining Hela cells by IF/ICC. The sample were fixed with PFA and permeabilized in 0.1% Triton X-100, then blocked in 10% serum for 45 minutes at 25 degree C. The primary antibody was diluted at 1/200 and incubated with the sample for 1 hour at 37 degree C. An Alexa Fluor 594 conjugated goat anti-rabbit IgG (H+L) antibody, diluted at 1/600, was used as secondary antibody.)
Subunit Structure: Interacts with the cAMP-dependent protein kinase (PKA) holoenzyme and with the regulatory subunit PRKAR2A (PubMed:11546812, PubMed:1618839, PubMed:15229649, PubMed:21102438, PubMed:11285229). Interacts with RHOA (PubMed:11546812, PubMed:17537920, PubMed:25186459, PubMed:24993829). Interacts also with RHOB and RHOC (PubMed:11546812). Identified in a ternary complex with RHOA and PRKAR2A (PubMed:11546812). Identified in a complex with NR3C1 and RHOA (PubMed:16469733). Interacts with BRAF and KSR1 (PubMed:21102438). Identified in a complex with BRAF and KSR1 (PubMed:21102438). Component of a signaling complex containing at least AKAP13, PKN1, MAPK14, ZAK and MAP2K3. Within this complex, AKAP13 interacts directly with PKN1, which in turn recruits MAPK14, MAP2K3 and ZAK (PubMed:21224381). Interacts (phosphorylated form) with YWHAB and YWHAZ (PubMed:15229649, PubMed:21224381). Interaction with YWHAB inhibits activation of RHOA, interferes with PKN1 binding and activation of MAP kinases (PubMed:15229649, PubMed:21224381). Interacts with GNA12 (PubMed:11546812). Interacts with IKBKB (PubMed:23090968). Interacts with ESR1, THRA, PPARA and NME2 (PubMed:9627117, PubMed:15249197). Interacts (via the C-terminal domain after the PH domain) with MEF2C and RXRB. Interacts (via the C-terminal domain after the PH domain) with PRKD1 (By similarity).
Similarity: The DH domain is sufficient for interaction with RHOA, and for guanine nucleotide exchange (GEF) activity with RHOA (PubMed:24993829). Forms that lack C-terminal regulatory domains have transforming activity and function as oncogenes (PubMed:9891067).The PH domain does not play a role in lipid-binding. Instead, it inhibits the guanine nucleotide exchange (GEF) activity of the isolated DH domain (in vitro).The C-terminal domain after the PH domain is involved in protein-protein interactions that are required for normal, compensatory cardiac hypertrophy in response to pressure overload.
NCBI and Uniprot Product Information
Predicted: 308 kDa
Similar Products
Product Notes
The AKAP13 akap13 (Catalog #AAA323951) is an Antibody produced from Rabbit and is intended for research purposes only. The product is available for immediate purchase. The AKAP13 Antibody reacts with Human, Mouse and may cross-react with other species as described in the data sheet. AAA Biotech's AKAP13 can be used in a range of immunoassay formats including, but not limited to, ELISA, ICC (Immunocytochemistry), IF (Immunofluorescence), IHC (Immunohistochemistry), WB (Western Blot). Researchers should empirically determine the suitability of the AKAP13 akap13 for an application not listed in the data sheet. Researchers commonly develop new applications and it is an integral, important part of the investigative research process. It is sometimes possible for the material contained within the vial of "AKAP13, Polyclonal Antibody" to become dispersed throughout the inside of the vial, particularly around the seal of said vial, during shipment and storage. We always suggest centrifuging these vials to consolidate all of the liquid away from the lid and to the bottom of the vial prior to opening. Please be advised that certain products may require dry ice for shipping and that, if this is the case, an additional dry ice fee may also be required.Precautions
All products in the AAA Biotech catalog are strictly for research-use only, and are absolutely not suitable for use in any sort of medical, therapeutic, prophylactic, in-vivo, or diagnostic capacity. By purchasing a product from AAA Biotech, you are explicitly certifying that said products will be properly tested and used in line with industry standard. AAA Biotech and its authorized distribution partners reserve the right to refuse to fulfill any order if we have any indication that a purchaser may be intending to use a product outside of our accepted criteria.Disclaimer
Though we do strive to guarantee the information represented in this datasheet, AAA Biotech cannot be held responsible for any oversights or imprecisions. AAA Biotech reserves the right to adjust any aspect of this datasheet at any time and without notice. It is the responsibility of the customer to inform AAA Biotech of any product performance issues observed or experienced within 30 days of receipt of said product. To see additional details on this or any of our other policies, please see our Terms & Conditions page.Item has been added to Shopping Cart
If you are ready to order, navigate to Shopping Cart and get ready to checkout.
