AIM2 Polyclonal Antibody | anti-AIM2 antibody
Anti-AIM2 Antibody
IHC (Immunohistochemistry)
(IHC analysis of AIM2 using anti-AIM2 antibody (AAA46356).AIM2 was detected in a paraffin-embedded section of human lung cancer tissue. Heat mediated antigen retrieval was performed in EDTA buffer (pH 8.0, epitope retrieval solution). The tissue section was blocked with 10% goat serum. The tissue section was then incubated with 1 ug/ml rabbit anti-AIM2 Antibody (AAA46356) overnight at 4°C. Biotinylated goat anti-rabbit IgG was used as secondary antibody and incubated for 30 minutes at 37°C. The tissue section was developed using Strepavidin-Biotin-Complex (SABC) (Catalog # please inquire) with DAB as the chromogen.)
IHC (Immunohistochemisry)
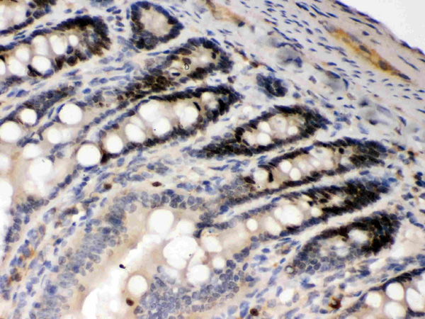
(IHC analysis of AIM2 using anti-AIM2 antibody (AAA46356).AIM2 was detected in a paraffin-embedded section of rat intestine tissue. Heat mediated antigen retrieval was performed in EDTA buffer (pH 8.0, epitope retrieval solution). The tissue section was blocked with 10% goat serum. The tissue section was then incubated with 1 ug/ml rabbit anti-AIM2 Antibody (AAA46356) overnight at 4°C. Biotinylated goat anti-rabbit IgG was used as secondary antibody and incubated for 30 minutes at 37°C. The tissue section was developed using Strepavidin-Biotin-Complex (SABC) (Catalog # please inquire) with DAB as the chromogen.)
IHC (Immunohiostchemistry)
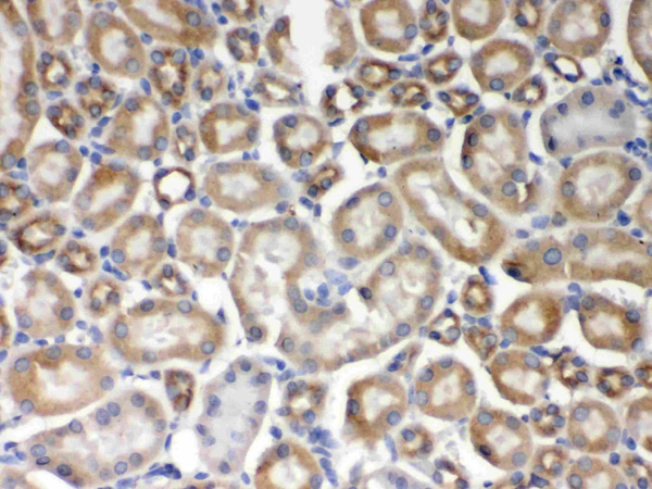
(IHC analysis of AIM2 using anti-AIM2 antibody (AAA46356).AIM2 was detected in a paraffin-embedded section of mouse kidney tissue. Heat mediated antigen retrieval was performed in EDTA buffer (pH 8.0, epitope retrieval solution). The tissue section was blocked with 10% goat serum. The tissue section was then incubated with 1 ug/ml rabbit anti-AIM2 Antibody (AAA46356) overnight at 4°C. Biotinylated goat anti-rabbit IgG was used as secondary antibody and incubated for 30 minutes at 37°C. The tissue section was developed using Strepavidin-Biotin-Complex (SABC) (Catalog # please inquire) with DAB as the chromogen.)
WB (Western Blot)
(Western blot analysis of AIM2 using anti-AIM2 antibody (AAA46356).Electrophoresis was performed on a 5-20% SDS-PAGE gel at 70V (Stacking gel) / 90V (Resolving gel) for 2-3 hours. The sample well of each lane was loaded with 30 ug of sample under reducing conditions.Lane 1: human A549 whole cell lysates,Lane 2: human Daudi whole cell lysates,Lane 3: human K562 whole cell lysates,Lane 4: human HepG2 whole cell lysates,Lane 5: mouse testis tissue lysates.After electrophoresis, proteins were transferred to a nitrocellulose membrane at 150 mA for 50-90 minutes. Blocked the membrane with 5% non-fat milk/TBS for 1.5 hour at RT. The membrane was incubated with rabbit anti-AIM2 antigen affinity purified polyclonal antibody (Catalog # AAA46356) at 0.5 ug/mL overnight at 4°C, then washed with TBS-0.1%Tween 3 times with 5 minutes each and probed with a goat anti-rabbit IgG-HRP secondary antibody at a dilution of 1:5000 for 1.5 hour at RT. The signal is developed using an Enhanced Chemiluminescent detection (ECL) kit (Catalog # please inquire) with Tanon 5200 system. A specific band was detected for AIM2 at approximately 45 kDa. The expected band size for AIM2 is at 39,40-45 kDa.)
Background: Interferon-inducible protein AIM2, also known as absent in melanoma 2 or simply AIM2, is a protein that in humans is encoded by the AIM2 gene. It is mapped to 1q22. AIM2 is a member of the Ifi202/IFI16 family. It plays a putative role in tumorigenic reversion and may control cell proliferation. Interferon-gamma induces expression of AIM2. Though there has been virtually no biochemistry performed, a model based on cell-based or in vivo experiments has led to the current model of how AIM2 triggers the inflammasome. The C-terminal HIN domain binds double stranded DNA (either viral, bacterial, or even host) and acts as a cytosolic dsDNA sensor. This leads to the oligomerization of the inflammasome complex. The N-terminal pyrin domain of AIM2 interacts with the pyrin domain of another protein ASC (or Apoptosis-associated Speck-like protein containing a caspase activation and recruitment domain). ASC also contains a CARD domain (caspase activation and recruitment domain), that recruits procaspase-1 to the complex. This leads to the autoactivation of caspase-1, an enzyme that processes proinflammatory cytokines (IL-1b and IL-18).
NCBI and Uniprot Product Information
Customer Reviews
Loading reviews...
Share Your Experience
Similar Products
Product Notes
The AIM2 aim2 (Catalog #AAA46356) is an Antibody and is intended for research purposes only. The product is available for immediate purchase. The Anti-AIM2 Antibody reacts with Human, Mouse, Rat and may cross-react with other species as described in the data sheet. AAA Biotech's AIM2 can be used in a range of immunoassay formats including, but not limited to, IHC (Immunohistochemistry), WB (Western Blot). Researchers should empirically determine the suitability of the AIM2 aim2 for an application not listed in the data sheet. Researchers commonly develop new applications and it is an integral, important part of the investigative research process. It is sometimes possible for the material contained within the vial of "AIM2, Polyclonal Antibody" to become dispersed throughout the inside of the vial, particularly around the seal of said vial, during shipment and storage. We always suggest centrifuging these vials to consolidate all of the liquid away from the lid and to the bottom of the vial prior to opening. Please be advised that certain products may require dry ice for shipping and that, if this is the case, an additional dry ice fee may also be required.Precautions
All products in the AAA Biotech catalog are strictly for research-use only, and are absolutely not suitable for use in any sort of medical, therapeutic, prophylactic, in-vivo, or diagnostic capacity. By purchasing a product from AAA Biotech, you are explicitly certifying that said products will be properly tested and used in line with industry standard. AAA Biotech and its authorized distribution partners reserve the right to refuse to fulfill any order if we have any indication that a purchaser may be intending to use a product outside of our accepted criteria.Disclaimer
Though we do strive to guarantee the information represented in this datasheet, AAA Biotech cannot be held responsible for any oversights or imprecisions. AAA Biotech reserves the right to adjust any aspect of this datasheet at any time and without notice. It is the responsibility of the customer to inform AAA Biotech of any product performance issues observed or experienced within 30 days of receipt of said product. To see additional details on this or any of our other policies, please see our Terms & Conditions page.Item has been added to Shopping Cart
If you are ready to order, navigate to Shopping Cart and get ready to checkout.
