Mouse anti-Human Parathyroid Hormone (PTH) Monoclonal Antibody | anti-PTH antibody
Parathyroid Hormone (PTH) (C-Terminal) Mouse Monoclonal Antibody
Gene Names
PTH; PTH1
Reactivity
Human
Applications
Immunohistochemistry, Immunofluorescence, Flow Cytometry, Functional Assay
Synonyms
Parathyroid Hormone (PTH), Antibody; Parathyroid Hormone (PTH) (C-Terminal) Mouse Monoclonal Antibody; hPTH; Parathormone; Parathyrin; Parathyroid hormone 1 (PTH1); Parathyroid hormone (PTH); anti-PTH antibody
Host
Mouse
Reactivity
Human
Clonality
Monoclonal
Isotype
IgG2b, kappa
Clone Number
PTH/1175
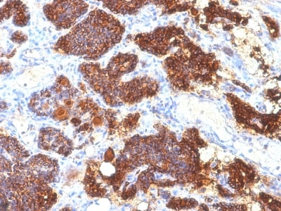
Specificity
Epitope of this MAb maps in the C-terminus of PTH, a hormone produced by the parathyroid gland that regulates the concentration of calcium and phosphorus in extracellular fluid. This hormone elevates blood Ca2+ levels by dissolving the salts in bone and preventing their renal excretion. It is produced in the parathyroid gland as an 84 amino acid single chain polypeptide. It can also be secreted as N-terminal truncated fragments or C-terminal fragments after intracellular degradation, as in case of hypercalcemia. Defects in this gene are a cause of familial isolated hypoparathyroidism (FIH); also called autosomal dominant hypoparathyroidism or autosomal dominant hypocalcemia. FIH is characterized by hypocalcemia and hyperphosphatemia due to inadequate secretion of parathyroid hormone. Symptoms are seizures, tetany and cramps. FIH exist both as autosomal dominant and recessive forms of hypoparathyroidism.
Form/Format
200ug/ml of Ab purified from Bioreactor Concentrate by Protein A/G. Prepared in 10mM PBS with 0.05% BSA & 0.05% azide. Also available WITHOUT BSA & azide at 1.0mg/ml.
Sequence Length
115
Applicable Applications for anti-PTH antibody
IHC (Immunohistochemistry), IF (Immunofluorescence), FCM/FACS (Flow Cytometry)
Cellular Localization
Cytoplasmic and Secreted
Immunogen
Recombinant fragment (84 amino acid residues from C-terminus) of human PTH protein
Hu-Chromosome Location
11p15.3-p15.1
Positive Control
Human parathyroid gland carcinoma
Preparation and Storage
Antibody with azide - store at 2 to 8 degree C. Antibody without azide - store at -20 to -80 degree C. Antibody is stable for 24 months. Non-hazardous. No MSDS required.
References
Watson, P.H. and Hanley, D.A. 1993. Parathyroid hormone: regulation of synthesis and secretion. Clin. Invest. Med. 16: 58-77.
NCBI and Uniprot Product Information
NCBI GI #
NCBI GeneID
NCBI Accession #
NCBI GenBank Nucleotide #
Molecular Weight
9kDa
NCBI Official Full Name
parathyroid hormone isoform 1 preproprotein
NCBI Official Synonym Full Names
parathyroid hormone
NCBI Official Symbol
PTH
NCBI Official Synonym Symbols
PTH1
NCBI Protein Information
parathyroid hormone
UniProt Protein Name
Parathyroid hormone
UniProt Gene Name
PTH
UniProt Synonym Gene Names
PTH
UniProt Entry Name
PTHY_HUMAN
Customer Reviews
Loading reviews...
Share Your Experience
Similar Products
Product Notes
The PTH pth (Catalog #AAA62679) is an Antibody produced from Mouse and is intended for research purposes only. The product is available for immediate purchase. The Parathyroid Hormone (PTH) (C-Terminal) Mouse Monoclonal Antibody reacts with Human and may cross-react with other species as described in the data sheet. AAA Biotech's Parathyroid Hormone (PTH) can be used in a range of immunoassay formats including, but not limited to, IHC (Immunohistochemistry), IF (Immunofluorescence), FCM/FACS (Flow Cytometry). Researchers should empirically determine the suitability of the PTH pth for an application not listed in the data sheet. Researchers commonly develop new applications and it is an integral, important part of the investigative research process. It is sometimes possible for the material contained within the vial of "Parathyroid Hormone (PTH), Monoclonal Antibody" to become dispersed throughout the inside of the vial, particularly around the seal of said vial, during shipment and storage. We always suggest centrifuging these vials to consolidate all of the liquid away from the lid and to the bottom of the vial prior to opening. Please be advised that certain products may require dry ice for shipping and that, if this is the case, an additional dry ice fee may also be required.Precautions
All products in the AAA Biotech catalog are strictly for research-use only, and are absolutely not suitable for use in any sort of medical, therapeutic, prophylactic, in-vivo, or diagnostic capacity. By purchasing a product from AAA Biotech, you are explicitly certifying that said products will be properly tested and used in line with industry standard. AAA Biotech and its authorized distribution partners reserve the right to refuse to fulfill any order if we have any indication that a purchaser may be intending to use a product outside of our accepted criteria.Disclaimer
Though we do strive to guarantee the information represented in this datasheet, AAA Biotech cannot be held responsible for any oversights or imprecisions. AAA Biotech reserves the right to adjust any aspect of this datasheet at any time and without notice. It is the responsibility of the customer to inform AAA Biotech of any product performance issues observed or experienced within 30 days of receipt of said product. To see additional details on this or any of our other policies, please see our Terms & Conditions page.Item has been added to Shopping Cart
If you are ready to order, navigate to Shopping Cart and get ready to checkout.
