Mouse ESTROGEN RECEPTOR BETA 2 Monoclonal Antibody | anti-ESR2 antibody
MOUSE ANTI HUMAN ESTROGEN RECEPTOR BETA 2
Purified IgG - liquid
Buffer Solution
Shelf Life: 18 months from date of despatch.
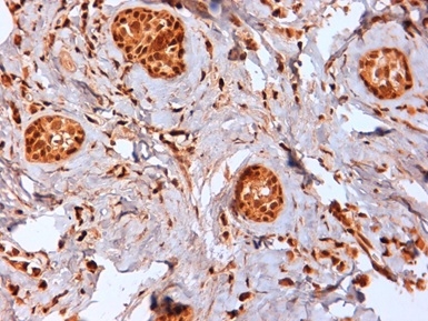
Application Data
(Formalin fixed, paraffin embedded human breast cancer biopsy stained with Mouse anti Human estrogen receptor beta 2 antibody followed by HRP polymer detection and DAB substrate development following heat mediated antigen retrieval using citrate buffer at pH6.2 (low power))
Application Data
(Formalin fixed, paraffin embedded human breast cancer biopsy stained with Mouse anti Human estrogen receptor beta 2 antibody followed by HRP polymer detection and DAB substrate development following heat mediated antigen retrieval using citrate buffer at pH6.2 (high power))
Application Data
(Published customer image: Immunoexpression of ERs in endometrial cancers. Tissues were classified as well (A-D), moderately (E-H) or poorly (J-M) differentiated; main panels show closely adjacent sections from three cancer blocks to allow direct comparisons. All proteins were immunolocalised to cell nuclei (see higher power inserts in panels e, f, c and d respectively). In the well and moderately differentiated cancers expression was most intense in epithelial cell layers (arrowheads, panel A and inserts). Note that ERa was low/absent in poor grade cancers (J) but immunoexpression of ERbeta1, 2, 5 was readily detected (K. L, M). Inserts in panels K, L, and M show negative controls for ERbeta1, ERbeta2 and ERbeta5 antibodies respectively generated using primary antibodies pre-absorbed with specific peptides used for immunisation. Asterisks (*) label the stromal compartment that was well defined in the well differentiated cancers.From: Collins F, MacPherson S, Brown P, Bombail V, Williams AR, Anderson RA, Jabbour HN, Saunders PT. Expression of oestrogen receptors, ERalpha, ERbeta, and ERbeta variants, in endometrial cancers and evidence that prostaglandin F may play a role in regulating expression of ERalpha. BMC Cancer. 2009 Sep 16;9:330.)
NCBI and Uniprot Product Information
Similar Products
Product Notes
The ESR2 esr2 (Catalog #AAA49751) is an Antibody produced from Mouse and is intended for research purposes only. The product is available for immediate purchase. AAA Biotech's ESTROGEN RECEPTOR BETA 2 can be used in a range of immunoassay formats including, but not limited to, IHC (Immunohistochemistry). Researchers should empirically determine the suitability of the ESR2 esr2 for an application not listed in the data sheet. Researchers commonly develop new applications and it is an integral, important part of the investigative research process. It is sometimes possible for the material contained within the vial of "ESTROGEN RECEPTOR BETA 2, Monoclonal Antibody" to become dispersed throughout the inside of the vial, particularly around the seal of said vial, during shipment and storage. We always suggest centrifuging these vials to consolidate all of the liquid away from the lid and to the bottom of the vial prior to opening. Please be advised that certain products may require dry ice for shipping and that, if this is the case, an additional dry ice fee may also be required.Precautions
All products in the AAA Biotech catalog are strictly for research-use only, and are absolutely not suitable for use in any sort of medical, therapeutic, prophylactic, in-vivo, or diagnostic capacity. By purchasing a product from AAA Biotech, you are explicitly certifying that said products will be properly tested and used in line with industry standard. AAA Biotech and its authorized distribution partners reserve the right to refuse to fulfill any order if we have any indication that a purchaser may be intending to use a product outside of our accepted criteria.Disclaimer
Though we do strive to guarantee the information represented in this datasheet, AAA Biotech cannot be held responsible for any oversights or imprecisions. AAA Biotech reserves the right to adjust any aspect of this datasheet at any time and without notice. It is the responsibility of the customer to inform AAA Biotech of any product performance issues observed or experienced within 30 days of receipt of said product. To see additional details on this or any of our other policies, please see our Terms & Conditions page.Item has been added to Shopping Cart
If you are ready to order, navigate to Shopping Cart and get ready to checkout.
