Cleaved PARP1 Recombinant Antibody | PARP1 recombinant antibody
Rabbit anti-Cleaved PARP1 Recombinant Monoclonal Antibody [BLR183J]
Shelf Life: 1 year from date of receipt
WB (Western Blot)
(Detection of human Cleaved PARP1 by western blot. Samples: Whole cell lysate (50 ug) from etoposide-treated Jurkat cells, untreated Jurkat cells, 1 uM staurosporine-treated HeLa cells, and untreated HeLa cells prepared using NETN lysis buffer. Antibody: Rabbit anti-Cleaved PARP1 recombinant monoclonal antibody (AAA213631 lot 1) used at 1:1000. Secondary: HRP-conjugated goat anti-rabbit IgG . Detection: Chemiluminescence with an exposure time of 3 minutes. Lower Panel: Rabbit anti-COPB2 antibody .)
IP (Immunoprecipitation)
(Detection of human Cleaved PARP1 by western blot of immunoprecipitates. Samples: Whole cell lysate (1.0 mg per IP reaction; 10% of IP loaded) from etoposide-treated Jurkat cells prepared using NETN lysis buffer. Antibodies: Rabbit anti-Cleaved PARP1 recombinant monoclonal antibody (AAA213631 lot 1) used for IP at 6 ul/mg lysate. Cleaved PARP1 was also immunoprecipitated by a second antibody against a different epitope of cleaved PARP1 (Antibody 2). For blotting immunoprecipitated Cleaved PARP1, AAA213631 was used at 1:1000. Detection: Chemiluminescence with an exposure time of 30 seconds.)
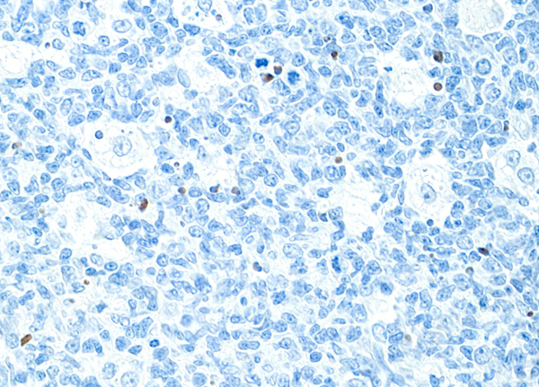
IHC (Immunohiostchemistry)
(Detection of human Cleaved PARP1 in tonsil by IHC. Antibody: Rabbit anti-Cleaved PARP1 recombinant monoclonal antibody (AAA213631 lot 1). Secondary: HRP-conjugated goat anti-rabbit IgG . Substrate: DAB)
ICC (Immunocytochemistry)
(Detection of human Cleaved PARP1 in HeLa cells treated with Staurosporine (left) and untreated HeLa cells (right) by ICC. Antibody: Rabbit anti-Cleaved PARP1 recombinant monoclonal antibody (AAA213631 lot 1). Secondary: HRP-conjugated goat anti-rabbit IgG . Substrate: DAB)
NCBI and Uniprot Product Information
Customer Reviews
Loading reviews...
Share Your Experience
Similar Products
Product Notes
The PARP1 parp1 (Catalog #AAA213631) is a Recombinant Antibody produced from Rabbit and is intended for research purposes only. The product is available for immediate purchase. The Rabbit anti-Cleaved PARP1 Recombinant Monoclonal Antibody [BLR183J] reacts with Human and may cross-react with other species as described in the data sheet. AAA Biotech's Cleaved PARP1 can be used in a range of immunoassay formats including, but not limited to, ICC (Immunocytochemistry), IHC (Immunohistochemistry), IP (Immunoprecipitation), WB (Western Blot). Researchers should empirically determine the suitability of the PARP1 parp1 for an application not listed in the data sheet. Researchers commonly develop new applications and it is an integral, important part of the investigative research process. It is sometimes possible for the material contained within the vial of "Cleaved PARP1, Monoclonal Recombinant Antibody" to become dispersed throughout the inside of the vial, particularly around the seal of said vial, during shipment and storage. We always suggest centrifuging these vials to consolidate all of the liquid away from the lid and to the bottom of the vial prior to opening. Please be advised that certain products may require dry ice for shipping and that, if this is the case, an additional dry ice fee may also be required.Precautions
All products in the AAA Biotech catalog are strictly for research-use only, and are absolutely not suitable for use in any sort of medical, therapeutic, prophylactic, in-vivo, or diagnostic capacity. By purchasing a product from AAA Biotech, you are explicitly certifying that said products will be properly tested and used in line with industry standard. AAA Biotech and its authorized distribution partners reserve the right to refuse to fulfill any order if we have any indication that a purchaser may be intending to use a product outside of our accepted criteria.Disclaimer
Though we do strive to guarantee the information represented in this datasheet, AAA Biotech cannot be held responsible for any oversights or imprecisions. AAA Biotech reserves the right to adjust any aspect of this datasheet at any time and without notice. It is the responsibility of the customer to inform AAA Biotech of any product performance issues observed or experienced within 30 days of receipt of said product. To see additional details on this or any of our other policies, please see our Terms & Conditions page.Item has been added to Shopping Cart
If you are ready to order, navigate to Shopping Cart and get ready to checkout.
