Mouse anti-Human Alpha galactosidase A Monoclonal Antibody | anti-GLA antibody
anti-Alpha galactosidase A antibody
Gene Names
GLA; GALA
Reactivity
Human
Applications
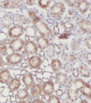
Immunofluorescence, Immunohistochemistry, Western Blot, ELISA
Purity
>95% as determined by SDS-PAGE; Protein A+G purification
Synonyms
Alpha galactosidase A, Antibody; anti-Alpha galactosidase A antibody; Alpha galactosidase A; galactosidase; alpha; anti-GLA antibody
Host
Mouse
Reactivity
Human
Clonality
Monoclonal
Isotype
IgG2a
Clone Number
7F1
Purity/Purification
>95% as determined by SDS-PAGE; Protein A+G purification
Form/Format
Liquid; PBS with 0.02% sodium azide and 50% glycerol pH 7.3
Applicable Applications for anti-GLA antibody
IF (Immunofluorescence), IHC (Immunohistochemistry), WB (Western Blot), ELISA
Immunogen
galactosidase, alpha
Preparation and Storage
Store at -20°C for 12 months. (Avoid repeated freeze / thaw cycles.).
Related Product Information for anti-GLA antibody
GLA, also named as Melibiase, Agalsidase and Alpha-galactosidase A, belongs to the glycosyl hydrolase 27 family. It hydrolyzes terminal, non-reducing alpha-D-galactose residues in alpha-D-galactosides, including galactose oligosaccharides, galactomannans and galactolipids. Fabry disease is an X-linked lysosomal storage disorder resulting from the deficient activity of GLA. Enzyme replacement therapy(ERT) with GLA is currently the most effective therapeutic strategy for patients with Fabry disease, a lysosomal storage disease.
NCBI and Uniprot Product Information
NCBI GI #
NCBI GeneID
NCBI Accession #
NCBI GenBank Nucleotide #
Molecular Weight
Observed MW: 49 kDa
NCBI Official Full Name
alpha-galactosidase A
NCBI Official Synonym Full Names
galactosidase alpha
NCBI Official Symbol
GLA
NCBI Official Synonym Symbols
GALA
NCBI Protein Information
alpha-galactosidase A
UniProt Protein Name
Alpha-galactosidase A
UniProt Gene Name
GLA
UniProt Entry Name
AGAL_HUMAN
Customer Reviews
Loading reviews...
Share Your Experience
Similar Products
Product Notes
The GLA gla (Catalog #AAA102681) is an Antibody produced from Mouse and is intended for research purposes only. The product is available for immediate purchase. The anti-Alpha galactosidase An antibody reacts with Human and may cross-react with other species as described in the data sheet. AAA Biotech's Alpha galactosidase A can be used in a range of immunoassay formats including, but not limited to, IF (Immunofluorescence), IHC (Immunohistochemistry), WB (Western Blot), ELISA. Researchers should empirically determine the suitability of the GLA gla for an application not listed in the data sheet. Researchers commonly develop new applications and it is an integral, important part of the investigative research process. It is sometimes possible for the material contained within the vial of "Alpha galactosidase A, Monoclonal Antibody" to become dispersed throughout the inside of the vial, particularly around the seal of said vial, during shipment and storage. We always suggest centrifuging these vials to consolidate all of the liquid away from the lid and to the bottom of the vial prior to opening. Please be advised that certain products may require dry ice for shipping and that, if this is the case, an additional dry ice fee may also be required.Precautions
All products in the AAA Biotech catalog are strictly for research-use only, and are absolutely not suitable for use in any sort of medical, therapeutic, prophylactic, in-vivo, or diagnostic capacity. By purchasing a product from AAA Biotech, you are explicitly certifying that said products will be properly tested and used in line with industry standard. AAA Biotech and its authorized distribution partners reserve the right to refuse to fulfill any order if we have any indication that a purchaser may be intending to use a product outside of our accepted criteria.Disclaimer
Though we do strive to guarantee the information represented in this datasheet, AAA Biotech cannot be held responsible for any oversights or imprecisions. AAA Biotech reserves the right to adjust any aspect of this datasheet at any time and without notice. It is the responsibility of the customer to inform AAA Biotech of any product performance issues observed or experienced within 30 days of receipt of said product. To see additional details on this or any of our other policies, please see our Terms & Conditions page.Item has been added to Shopping Cart
If you are ready to order, navigate to Shopping Cart and get ready to checkout.
