Loading...

Skip to main content
Call us at +1-800-604-9114 for more information about our products or contact us online Need help? +1-800-604-9114 or contact us
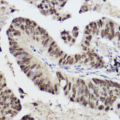
product-image-AAA36748_IHC13.jpg IHC (Immunohiostchemistry) (Immunohistochemistry of paraffinembedded human lung cancer using STAT1 Rabbit pAb (AAA36748) at dilution of 1:50 (40x lens).)

Rabbit STAT1 Antibody | anti-STAT1 antibody

STAT1 Polyclonal Antibody

Gene Names
STAT1; CANDF7; IMD31A; IMD31B; IMD31C; ISGF-3; STAT91
Applications
Immunohistochemistry, Western Blot
Purity
Affinity Purification
Synonyms
STAT1; N/A; STAT1 Polyclonal Antibody; DKFZp686B04100; ISGF-3; STAT91; anti-STAT1 antibody
Ordering
Host
Rabbit
Isotype
IgG
Purity/Purification
Affinity Purification
Form/Format
PBS with 0.09% Sodium azide,50% glycerol,pH7.3.
Sequence Length
750
Applicable Applications for anti-STAT1 antibody
IHC (Immunohistochemistry), WB (Western Blot)
Species Reactivity/Cross-Reactivity
Human, Mouse, Rat
Immunogen
Recombinant Protein
Catergory
Primary antibody
Immunogen
Recombinant fusion protein containing a sequence corresponding to amino acids513-712 of human STAT1 (NP_644671.1)
Preparation and Storage
Store at -20 degree C (regular) or -80 degree C (long term). Avoid freeze / thaw cycles.
Buffer: PBS with 0.02% sodium azide, 50% glycerol, pH7.3.

IHC (Immunohiostchemistry)

(Immunohistochemistry of paraffinembedded human lung cancer using STAT1 Rabbit pAb (AAA36748) at dilution of 1:50 (40x lens).)

product-image-AAA36748_IHC13.jpg IHC (Immunohiostchemistry) (Immunohistochemistry of paraffinembedded human lung cancer using STAT1 Rabbit pAb (AAA36748) at dilution of 1:50 (40x lens).)

WB (Western Blot)

(Western blot analysis of extracts of various cell lines, using STAT1 antibody (AAA36748) at 1:5000 dilution. Secondary antibody: HRP Goat Anti-Rabbit IgG (H+L) at 1:10000 dilution. Lysates/proteins: 25ug per lane. Blocking buffer: 3% nonfat dry milk in TBST. Detection: ECL Enhanced Kit (RM00021). Exposure time: 180s.)

product-image-AAA36748_WB15.jpg WB (Western Blot) (Western blot analysis of extracts of various cell lines, using STAT1 antibody (AAA36748) at 1:5000 dilution. Secondary antibody: HRP Goat Anti-Rabbit IgG (H+L) at 1:10000 dilution. Lysates/proteins: 25ug per lane. Blocking buffer: 3% nonfat dry milk in TBST. Detection: ECL Enhanced Kit (RM00021). Exposure time: 180s.)
Related Product Information for anti-STAT1 antibody
The Stat1 transcription factor is activated in response to a large number of ligands (1) and is essential for responsiveness to IFN-alpha and IFN-gamma (2,3). Phosphorylation of Stat1 at Tyr701 induces Stat1 dimerization, nuclear translocation, and DNA binding (4). Stat1 protein exists as a pair of isoforms, Stat1alpha (91 kDa) and the splice variant Stat1beta (84 kDa). In most cells, both isoforms are activated by IFN-alpha, but only Stat1alpha is activated by IFN-gamma. The inappropriate activation of Stat1 occurs in many tumors (5). In addition to tyrosine phosphorylation, Stat1 is also phosphorylated at Ser727 through a p38 mitogen-activated protein kinase (MAPK)-dependent pathway in response to IFN-alpha and other cellular stresses (6). Serine phosphorylation may be required for the maximal induction of Stat1-mediated gene activation.
Product Categories/Family for anti-STAT1 antibody

NCBI and Uniprot Product Information

NCBI GI #
NCBI GeneID
UniProt Accession #
Molecular Weight
Observed MW: 84KDa
Calculated MW: 83kDa/87kDa
NCBI Official Full Name
Signal transducer and activator of transcription 1-alpha/beta
NCBI Official Synonym Full Names
signal transducer and activator of transcription 1, 91kDa
NCBI Official Symbol
STAT1
NCBI Official Synonym Symbols
CANDF7; IMD31A; IMD31B; IMD31C; ISGF-3; STAT91
NCBI Protein Information
signal transducer and activator of transcription 1-alpha/beta; transcription factor ISGF-3 components p91/p84; signal transducer and activator of transcription-1; signal transducer and activator of transcription 1, 91kD
UniProt Protein Name
Signal transducer and activator of transcription 1-alpha/beta
UniProt Gene Name
STAT1
UniProt Entry Name
STAT1_HUMAN

Similar Products

Product Notes

The STAT1 stat1 (Catalog #AAA36748) is an Antibody produced from Rabbit and is intended for research purposes only. The product is available for immediate purchase. AAA Biotech's STAT1 can be used in a range of immunoassay formats including, but not limited to, IHC (Immunohistochemistry), WB (Western Blot). Researchers should empirically determine the suitability of the STAT1 stat1 for an application not listed in the data sheet. Researchers commonly develop new applications and it is an integral, important part of the investigative research process. It is sometimes possible for the material contained within the vial of "STAT1, Antibody" to become dispersed throughout the inside of the vial, particularly around the seal of said vial, during shipment and storage. We always suggest centrifuging these vials to consolidate all of the liquid away from the lid and to the bottom of the vial prior to opening. Please be advised that certain products may require dry ice for shipping and that, if this is the case, an additional dry ice fee may also be required.

Precautions

All products in the AAA Biotech catalog are strictly for research-use only, and are absolutely not suitable for use in any sort of medical, therapeutic, prophylactic, in-vivo, or diagnostic capacity. By purchasing a product from AAA Biotech, you are explicitly certifying that said products will be properly tested and used in line with industry standard. AAA Biotech and its authorized distribution partners reserve the right to refuse to fulfill any order if we have any indication that a purchaser may be intending to use a product outside of our accepted criteria.

Disclaimer

Though we do strive to guarantee the information represented in this datasheet, AAA Biotech cannot be held responsible for any oversights or imprecisions. AAA Biotech reserves the right to adjust any aspect of this datasheet at any time and without notice. It is the responsibility of the customer to inform AAA Biotech of any product performance issues observed or experienced within 30 days of receipt of said product. To see additional details on this or any of our other policies, please see our Terms & Conditions page.

Item has been added to Shopping Cart

If you are ready to order, navigate to Shopping Cart and get ready to checkout.

Submit a Question

Please complete the form below and a representative will contact you as soon as possible.

Request more Information

Please complete the form below and a representative will contact you as soon as possible.

Request a Manual

Please complete the form below and a representative will contact you as soon as possible.

Request a Quote

Please complete the form below and a representative will contact you as soon as possible.