Rabbit Pyk2 Polyclonal Antibody | anti-Pyk2 antibody
Phospho-Pyk2 (Tyr402) Antibody
Predicted: Pig, Bovine, Horse, Sheep, Rabbit, Dog, Xenopus
Predicted: Pig, Bovine, Horse, Sheep, Rabbit, Dog, Xenopus
WB (Western Blot)
(Western blot analysis of extracts of mouse brain tissue sample,using Phospho-Pyk2 (Tyr402) Antibody.)
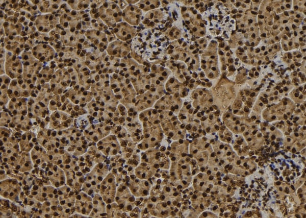
IHC (Immunohistochemistry)
(At 1/100 staining human kidney tissue sections by IHC-P. The tissue was formaldehyde fixed and a heat mediated antigen retrieval step in citrate buffer was performed. The tissue was then blocked and incubated with the antibody for 1.5 hours at 22 degree C. An HRP conjugated goat anti-rabbit antibody was used as the secondary)
IHC (Immunohistochemisry)
(At 1/100 staining human lung cancer tissue sections by IHC-P. The tissue was formaldehyde fixed and a heat mediated antigen retrieval step in citrate buffer was performed. The tissue was then blocked and incubated with the antibody for 1.5 hours at 22 degree C. An HRP conjugated goat anti-rabbit antibody was used as the secondary)
IHC (Immunohiostchemistry)
(At 1/100 staining rat lung tissue sections by IHC-P. The tissue was formaldehyde fixed and a heat mediated antigen retrieval step in citrate buffer was performed. The tissue was then blocked and incubated with the antibody for 1.5 hours at 22 degree C. An HRP conjugated goat anti-rabbit antibody was used as the secondary)
IHC (Immunohistochemistry)
(At 1/100 staining mouse kidney tissue sections by IHC-P. The tissue was formaldehyde fixed and a heat mediated antigen retrieval step in citrate buffer was performed. The tissue was then blocked and incubated with the antibody for 1.5 hours at 22 degree C. An HRP conjugated goat anti-rabbit antibody was used as the secondary)
Post Translational Modifications: Phosphorylated on tyrosine residues in response to various stimuli that elevate the intracellular calcium concentration; this activation is indirect and may be mediated by production of reactive oxygen species (ROS). Tyr-402 is the major autophosphorylation site, but other kinases can also phosphorylate Tyr-402. Autophosphorylation occurs in trans, i.e. one subunit of the dimeric receptor phosphorylates tyrosine residues on the other subunit. Phosphorylation at Tyr-402 promotes interaction with SRC and SRC family members, leading to phosphorylation at Tyr-579; Tyr-580 and Tyr-881. Phosphorylation at Tyr-881 is important for interaction with GRB2. Phosphorylated on tyrosine residues upon activation of FGR and PKC. Recruitment by NPHP1 to cell matrix adhesions initiates Tyr-402 phosphorylation. In monocytes, adherence to substrata is required for tyrosine phosphorylation and kinase activation. Angiotensin II, thapsigargin and L-alpha-lysophosphatidic acid (LPA) also induce autophosphorylation and increase kinase activity. Phosphorylation by MYLK promotes ITGB2 activation and is thus essential to trigger neutrophil transmigration during lung injury. Dephosphorylated by PTPN12.
Subunit Structure: Homodimer, or homooligomer. Interacts with SIRPA and SH2D3C. Interacts with ARHGAP10. Interacts with DLG4 (By similarity). Interacts with KCNA2 (By similarity). Interacts with NPHP1, ASAP1, ASAP2, ARHGAP26, SKAP2 and TGFB1I1. The Tyr-402 phosphorylated form interacts with SRC (via SH2 domain) and SRC family members. Forms a signaling complex with EPHA1, LCK and phosphatidylinositol 3-kinase; upon activation by EFNA1. Interacts with GRB2 (via SH2 domain). Interacts with P53/TP53 and MDM2. Interacts with MYLK. Interacts with BCAR1. Interacts with PDPK1. Interacts (hypophosphorylated) with PXN. Interacts with RB1CC1. Interacts with RHOU. Interacts with VAV1. Interacts with LPXN and PTPN12.
Similarity: Belongs to the protein kinase superfamily. Tyr protein kinase family. FAK subfamily.
NCBI and Uniprot Product Information
Predicted: 116 kDa
Similar Products
Product Notes
The Pyk2 ptk2b (Catalog #AAA328512) is an Antibody produced from Rabbit and is intended for research purposes only. The product is available for immediate purchase. The Phospho-Pyk2 (Tyr402) Antibody reacts with Human, Mouse, Rat Predicted: Pig, Bovine, Horse, Sheep, Rabbit, Dog, Xenopus and may cross-react with other species as described in the data sheet. AAA Biotech's Pyk2 can be used in a range of immunoassay formats including, but not limited to, ELISA (Peptide ELISA), IHC (Immunohistochemistry), WB (Western Blot). Researchers should empirically determine the suitability of the Pyk2 ptk2b for an application not listed in the data sheet. Researchers commonly develop new applications and it is an integral, important part of the investigative research process. It is sometimes possible for the material contained within the vial of "Pyk2, Polyclonal Antibody" to become dispersed throughout the inside of the vial, particularly around the seal of said vial, during shipment and storage. We always suggest centrifuging these vials to consolidate all of the liquid away from the lid and to the bottom of the vial prior to opening. Please be advised that certain products may require dry ice for shipping and that, if this is the case, an additional dry ice fee may also be required.Precautions
All products in the AAA Biotech catalog are strictly for research-use only, and are absolutely not suitable for use in any sort of medical, therapeutic, prophylactic, in-vivo, or diagnostic capacity. By purchasing a product from AAA Biotech, you are explicitly certifying that said products will be properly tested and used in line with industry standard. AAA Biotech and its authorized distribution partners reserve the right to refuse to fulfill any order if we have any indication that a purchaser may be intending to use a product outside of our accepted criteria.Disclaimer
Though we do strive to guarantee the information represented in this datasheet, AAA Biotech cannot be held responsible for any oversights or imprecisions. AAA Biotech reserves the right to adjust any aspect of this datasheet at any time and without notice. It is the responsibility of the customer to inform AAA Biotech of any product performance issues observed or experienced within 30 days of receipt of said product. To see additional details on this or any of our other policies, please see our Terms & Conditions page.Item has been added to Shopping Cart
If you are ready to order, navigate to Shopping Cart and get ready to checkout.
