anti-Human, Rat Nestin Polyclonal Antibody | anti-NES antibody
Anti-Nestin Antibody
IHC (Immunohistochemistry)
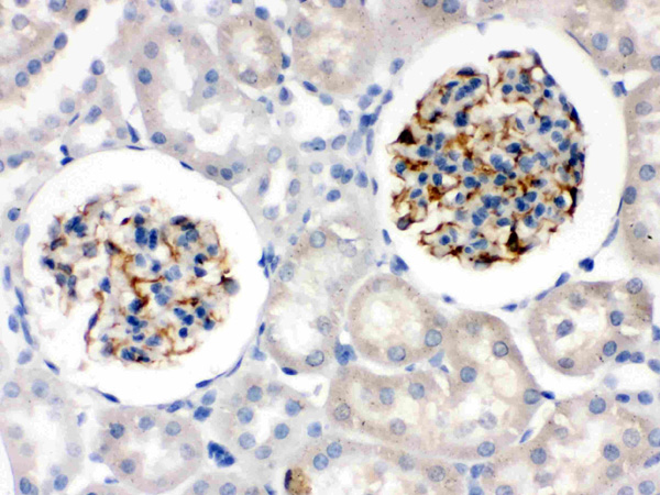
(Figure 5. IHC analysis of Nestin using anti-Nestin antibody (AAA46423).Nestin was detected in frozen section of rat kidney tissue. Heat mediated antigen retrieval was performed in citrate buffer (pH6, epitope retrieval solution) for 20 mins. The tissue section was blocked with 10% goat serum. The tissue section was then incubated with 1ug/ml rabbit anti-Nestin Antibody (AAA46423) overnight at 4 degree C. Biotinylated goat anti-rabbit IgG was used as secondary antibody and incubated for 30 minutes at 37 degree C. The tissue section was developed using Strepavidin-Biotin-Complex (SABC) with DAB as the chromogen.)
IHC (Immunohistochemistry)
(Figure 4. IHC analysis of Nestin using anti-Nestin antibody (AAA46423).Nestin was detected in frozen section of mouse kidney tissue. Heat mediated antigen retrieval was performed in citrate buffer (pH6, epitope retrieval solution) for 20 mins. The tissue section was blocked with 10% goat serum. The tissue section was then incubated with 1ug/ml rabbit anti-Nestin Antibody (AAA46423) overnight at 4 degree C. Biotinylated goat anti-rabbit IgG was used as secondary antibody and incubated for 30 minutes at 37 degree C. The tissue section was developed using Strepavidin-Biotin-Complex (SABC) with DAB as the chromogen.)
IHC (Immunohistochemisry)
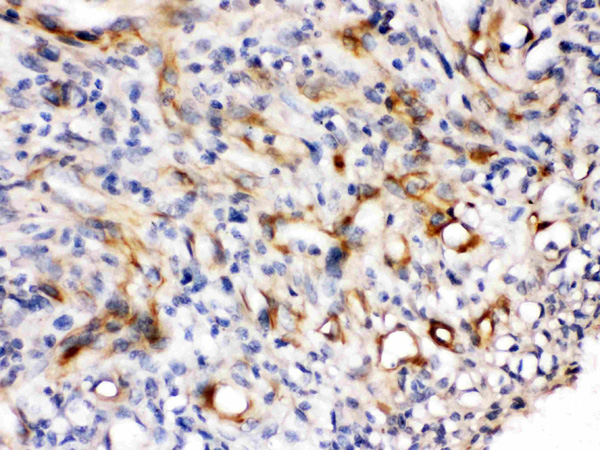
(Nestin was detected in paraffin-embedded sections of human melanoma tissues using rabbit anti- Nestin Antigen Affinity purified polyclonal antibody at 1ug/mL. The immunohistochemical section was developed using SABC method.)
IHC (Immunohiostchemistry)
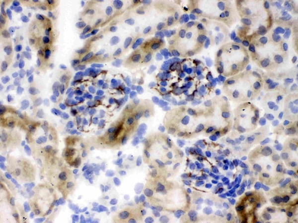
(Nestin was detected in paraffin-embedded sections of rat kidney tissues using rabbit anti- Nestin Antigen Affinity purified polyclonal antibody at 1 ug/mL. The immunohistochemical section was developed using SABC method.)
WB (Western Blot)
(Western blot analysis of Nestin expression in HELA whole cell lysates (lane 1) and HEPG2 whole cell lysates (lane 2). Nestin at 230KD was detected using rabbit anti- Nestin Antigen Affinity purified polyclonal antibody at0.5ug/mL. The blot was developed using chemiluminescence (ECL) method.)
Background: Nestin is a type VI intermediate filament (IF) protein that in humans is encoded by the NES gene. This gene is mapped to 1q23.1. Distribution and expression of nestin in mitotically active cells suggests it plays a role in regulation of the assembly and disassembly of intermediate filaments, which, together with other structural proteins, participate in remodeling of the cell. The role of nestin in dynamic cells, particularly structural organization of the cell, appears strictly regulated by phosphorylation, especially its integration into heterogeneous intermediate filaments together with vimentin or alpha-internexin. Furthermore, nestin expression has been extensively used as a marker for central nervous system (CNS) progenitor cells in different contexts, based on observations indicating a correlation between nestin expression and this cell type in vivo.
NCBI and Uniprot Product Information
Customer Reviews
Loading reviews...
Share Your Experience
Similar Products
Product Notes
The NES nes (Catalog #AAA46423) is an Antibody and is intended for research purposes only. The product is available for immediate purchase. The Anti-Nestin Antibody reacts with Human, Rat and may cross-react with other species as described in the data sheet. AAA Biotech's Nestin can be used in a range of immunoassay formats including, but not limited to, IHC (Immunohistochemistry), WB (Western Blot). Researchers should empirically determine the suitability of the NES nes for an application not listed in the data sheet. Researchers commonly develop new applications and it is an integral, important part of the investigative research process. It is sometimes possible for the material contained within the vial of "Nestin, Polyclonal Antibody" to become dispersed throughout the inside of the vial, particularly around the seal of said vial, during shipment and storage. We always suggest centrifuging these vials to consolidate all of the liquid away from the lid and to the bottom of the vial prior to opening. Please be advised that certain products may require dry ice for shipping and that, if this is the case, an additional dry ice fee may also be required.Precautions
All products in the AAA Biotech catalog are strictly for research-use only, and are absolutely not suitable for use in any sort of medical, therapeutic, prophylactic, in-vivo, or diagnostic capacity. By purchasing a product from AAA Biotech, you are explicitly certifying that said products will be properly tested and used in line with industry standard. AAA Biotech and its authorized distribution partners reserve the right to refuse to fulfill any order if we have any indication that a purchaser may be intending to use a product outside of our accepted criteria.Disclaimer
Though we do strive to guarantee the information represented in this datasheet, AAA Biotech cannot be held responsible for any oversights or imprecisions. AAA Biotech reserves the right to adjust any aspect of this datasheet at any time and without notice. It is the responsibility of the customer to inform AAA Biotech of any product performance issues observed or experienced within 30 days of receipt of said product. To see additional details on this or any of our other policies, please see our Terms & Conditions page.Item has been added to Shopping Cart
If you are ready to order, navigate to Shopping Cart and get ready to checkout.
