Rabbit anti-Mouse, Rat Milk Fat Globule EGF Factor 8 Polyclonal Antibody | anti-MFGE8 antibody
Polyclonal Antibody to Milk Fat Globule EGF Factor 8 (MFGE8)
Gene Names
Mfge8; AGS; MFGME8; OAcGD3S; MFGMP-E8
Reactivity
Mouse, Rat
Applications
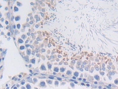
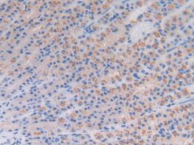
ELISA, Immunohistochemistry, Immunocytochemistry, Western Blot
Purity
Affinity Chromatography
Synonyms
Milk Fat Globule EGF Factor 8, Antibody; Polyclonal Antibody to Milk Fat Globule EGF Factor 8 (MFGE8); anti-MFGE8 antibody
Host
Rabbit
Reactivity
Mouse, Rat
Clonality
Polyclonal
Specificity
The antibody is a rabbit polyclonal antibody raised against MFGE8. It has beenselected for its ability to recognize MFGE8 in immunohistochemical staining andwestern blotting.
Purity/Purification
Affinity Chromatography
Form/Format
Liquid
Concentration
500ug/mL (varies by lot)
Sequence Length
469
Applicable Applications for anti-MFGE8 antibody
ELISA, IHC (Immunohistochemistry), ICC (Immunocytochemistry), WB (Western Blot)
Fragment
MFGE8 (Cys73~Arg421)
Organism Species
Rattus norvegicus (Rat)
Cross Reactivity
Rat
Conjugate
No Conjugate
Immunogen
Recombinant MFGE8 (Cys73~Arg421) expressed in E Coli.
Conjugated Antibody
The APC conjugated antibody version of this item is also available as
Preparation and Storage
Store at 4 degree C for frequent use. Stored at -20 degree C to -80 degree C in a manual defrost freezer for one year without detectable loss of activity. Avoid repeated freeze-thaw cycles.
NCBI and Uniprot Product Information
NCBI GI #
NCBI GeneID
NCBI Accession #
NCBI GenBank Nucleotide #
UniProt Accession #
Molecular Weight
47,413 Da
NCBI Official Full Name
lactadherin isoform 1
NCBI Official Synonym Full Names
milk fat globule-EGF factor 8 protein
NCBI Official Symbol
Mfge8
NCBI Official Synonym Symbols
AGS; MFGME8; OAcGD3S; MFGMP-E8
NCBI Protein Information
lactadherin
UniProt Protein Name
Lactadherin
UniProt Gene Name
Mfge8
UniProt Synonym Gene Names
Ags; MFG-E8; AGS
Customer Reviews
Loading reviews...
Share Your Experience
Similar Products
Product Notes
The MFGE8 mfge8 (Catalog #AAA141817) is an Antibody produced from Rabbit and is intended for research purposes only. The product is available for immediate purchase. The Polyclonal Antibody to Milk Fat Globule EGF Factor 8 (MFGE8) reacts with Mouse, Rat and may cross-react with other species as described in the data sheet. AAA Biotech's Milk Fat Globule EGF Factor 8 can be used in a range of immunoassay formats including, but not limited to, ELISA, IHC (Immunohistochemistry), ICC (Immunocytochemistry), WB (Western Blot). Researchers should empirically determine the suitability of the MFGE8 mfge8 for an application not listed in the data sheet. Researchers commonly develop new applications and it is an integral, important part of the investigative research process. It is sometimes possible for the material contained within the vial of "Milk Fat Globule EGF Factor 8, Polyclonal Antibody" to become dispersed throughout the inside of the vial, particularly around the seal of said vial, during shipment and storage. We always suggest centrifuging these vials to consolidate all of the liquid away from the lid and to the bottom of the vial prior to opening. Please be advised that certain products may require dry ice for shipping and that, if this is the case, an additional dry ice fee may also be required.Precautions
All products in the AAA Biotech catalog are strictly for research-use only, and are absolutely not suitable for use in any sort of medical, therapeutic, prophylactic, in-vivo, or diagnostic capacity. By purchasing a product from AAA Biotech, you are explicitly certifying that said products will be properly tested and used in line with industry standard. AAA Biotech and its authorized distribution partners reserve the right to refuse to fulfill any order if we have any indication that a purchaser may be intending to use a product outside of our accepted criteria.Disclaimer
Though we do strive to guarantee the information represented in this datasheet, AAA Biotech cannot be held responsible for any oversights or imprecisions. AAA Biotech reserves the right to adjust any aspect of this datasheet at any time and without notice. It is the responsibility of the customer to inform AAA Biotech of any product performance issues observed or experienced within 30 days of receipt of said product. To see additional details on this or any of our other policies, please see our Terms & Conditions page.Item has been added to Shopping Cart
If you are ready to order, navigate to Shopping Cart and get ready to checkout.
