Rabbit anti-Human Fibrinogen Like Protein 1 (FGL1) Polyclonal Antibody | anti-FGL1 antibody
Polyclonal Antibody to Fibrinogen Like Protein 1 (FGL1)
Gene Names
FGL1; HFREP1; HP-041; LFIRE1; LFIRE-1
Reactivity
Human
Applications
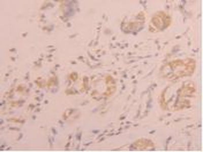
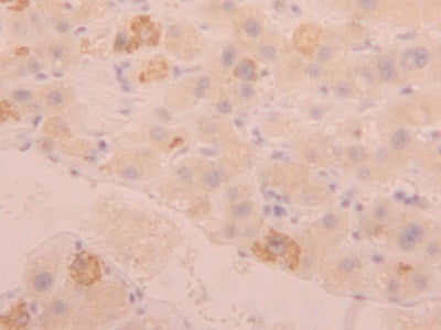
Western Blot, ELISA, Immunohistochemistry, Immunocytochemistry
Purity
Affinity Chromatography
Synonyms
Fibrinogen Like Protein 1 (FGL1), Antibody; Polyclonal Antibody to Fibrinogen Like Protein 1 (FGL1); anti-FGL1 antibody
Host
Rabbit
Reactivity
Human
Clonality
Polyclonal
Specificity
The antibody is a rabbit polyclonal antibody raised against FGL1. It has been selected for its ability to recognize FGL1 in immunohistochemical staining andwestern blotting.
Purity/Purification
Affinity Chromatography
Form/Format
Supplied as solution form in PBS, pH7.4, containing 0.02% NaN3,50% glycerol.
Concentration
500ug/mL (varies by lot)
Sequence
Antigen: The target protein is fused with two N-terminal Tags, His-tag and its sequence is listed below.
MHHHHHHSSG LVPRGSGMKE TAAAKFERQH MDSPDLGTDD DDKAMADIGS EF- LEDCAQEQ MRLRAQVRLL ETRVKQQQVK IKQLLQENEV QFLDKGDENT VIDLGSKRQY ADCSEIFNDG YKLSGFYKIK PLQSPAEFSV YCDMSDGGGW TVIQRRSDGS ENFNRGWKDY ENGFGNFVQK HGEYWLGNKN LHFLTTQEDY TLKIDLADFE KNSRYAQYKN FKVGDEKNFY ELNIGEYSGT AGDSLAGNFH PEVQWWASHQ RMKFSTWDRD HDNYEGNCAE EDQSGWWFNR CHSANLNGVY YSGPYTAKTD NGIVWYTWHG WWYSLKSVVM KIRPNDFIPN VI
MHHHHHHSSG LVPRGSGMKE TAAAKFERQH MDSPDLGTDD DDKAMADIGS EF- LEDCAQEQ MRLRAQVRLL ETRVKQQQVK IKQLLQENEV QFLDKGDENT VIDLGSKRQY ADCSEIFNDG YKLSGFYKIK PLQSPAEFSV YCDMSDGGGW TVIQRRSDGS ENFNRGWKDY ENGFGNFVQK HGEYWLGNKN LHFLTTQEDY TLKIDLADFE KNSRYAQYKN FKVGDEKNFY ELNIGEYSGT AGDSLAGNFH PEVQWWASHQ RMKFSTWDRD HDNYEGNCAE EDQSGWWFNR CHSANLNGVY YSGPYTAKTD NGIVWYTWHG WWYSLKSVVM KIRPNDFIPN VI
Sequence Length
312
Applicable Applications for anti-FGL1 antibody
WB (Western Blot), ELISA, IHC (Immunohistochemistry), ICC (Immunocytochemistry)
Immunogen
Recombinant FGL1 (Leu23~Ile312) expressed in E.coli.
Cross Reactivity
Human
Conjugated Antibody
The APC conjugated antibody version of this item is also available as
Preparation and Storage
Store at 4 degree C for frequent use. Stored at -20 degree C to -80 degree C in a manual defrost freezer for one year without detectable loss of activity. Avoid repeated freeze-thaw cycles.
WB (Western Blot)
(Western Blot: Sample: Lane1: Human Liver Tissue; Lane2: Human HepG2 Cells; Lane3: Human Hela Cells.)
NCBI and Uniprot Product Information
NCBI GI #
NCBI GeneID
NCBI Accession #
NCBI GenBank Nucleotide #
Molecular Weight
36,379 Da
NCBI Official Full Name
fibrinogen-like protein 1
NCBI Official Synonym Full Names
fibrinogen like 1
NCBI Official Symbol
FGL1
NCBI Official Synonym Symbols
HFREP1; HP-041; LFIRE1; LFIRE-1
NCBI Protein Information
fibrinogen-like protein 1
UniProt Protein Name
Fibrinogen-like protein 1
UniProt Gene Name
FGL1
UniProt Synonym Gene Names
HFREP1; HFREP-1; LFIRE-1
Similar Products
Product Notes
The FGL1 fgl1 (Catalog #AAA130891) is an Antibody produced from Rabbit and is intended for research purposes only. The product is available for immediate purchase. The Polyclonal Antibody to Fibrinogen Like Protein 1 (FGL1) reacts with Human and may cross-react with other species as described in the data sheet. AAA Biotech's Fibrinogen Like Protein 1 (FGL1) can be used in a range of immunoassay formats including, but not limited to, WB (Western Blot), ELISA, IHC (Immunohistochemistry), ICC (Immunocytochemistry). Researchers should empirically determine the suitability of the FGL1 fgl1 for an application not listed in the data sheet. Researchers commonly develop new applications and it is an integral, important part of the investigative research process. The amino acid sequence is listed below: Antigen: The target protein is fused with two N-terminal Tags, His-tag and its sequence is listed below. MHHHHHHSSG LVPRGSGMKE TAAAKFERQH MDSPDLGTDD DDKAMADIGS EF- LEDCAQEQ MRLRAQVRLL ETRVKQQQVK IKQLLQENEV QFLDKGDENT VIDLGSKRQY ADCSEIFNDG YKLSGFYKIK PLQSPAEFSV YCDMSDGGGW TVIQRRSDGS ENFNRGWKDY ENGFGNFVQK HGEYWLGNKN LHFLTTQEDY TLKIDLADFE KNSRYAQYKN FKVGDEKNFY ELNIGEYSGT AGDSLAGNFH PEVQWWASHQ RMKFSTWDRD HDNYEGNCAE EDQSGWWFNR CHSANLNGVY YSGPYTAKTD NGIVWYTWHG WWYSLKSVVM KIRPNDFIPN VI. It is sometimes possible for the material contained within the vial of "Fibrinogen Like Protein 1 (FGL1), Polyclonal Antibody" to become dispersed throughout the inside of the vial, particularly around the seal of said vial, during shipment and storage. We always suggest centrifuging these vials to consolidate all of the liquid away from the lid and to the bottom of the vial prior to opening. Please be advised that certain products may require dry ice for shipping and that, if this is the case, an additional dry ice fee may also be required.Precautions
All products in the AAA Biotech catalog are strictly for research-use only, and are absolutely not suitable for use in any sort of medical, therapeutic, prophylactic, in-vivo, or diagnostic capacity. By purchasing a product from AAA Biotech, you are explicitly certifying that said products will be properly tested and used in line with industry standard. AAA Biotech and its authorized distribution partners reserve the right to refuse to fulfill any order if we have any indication that a purchaser may be intending to use a product outside of our accepted criteria.Disclaimer
Though we do strive to guarantee the information represented in this datasheet, AAA Biotech cannot be held responsible for any oversights or imprecisions. AAA Biotech reserves the right to adjust any aspect of this datasheet at any time and without notice. It is the responsibility of the customer to inform AAA Biotech of any product performance issues observed or experienced within 30 days of receipt of said product. To see additional details on this or any of our other policies, please see our Terms & Conditions page.Item has been added to Shopping Cart
If you are ready to order, navigate to Shopping Cart and get ready to checkout.
