Loading...

Skip to main content
Call us at +1-800-604-9114 for more information about our products or contact us online Need help? +1-800-604-9114 or contact us
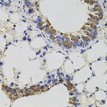
product-image-AAA36909_IHC11.jpg IHC (Immunohistochemisry) (Immunohistochemistry of paraffin-embedded mouse lung using CD59 antibody (40x lens).)

Rabbit CD59 Polyclonal Antibody | anti-CD59 antibody

CD59 Polyclonal Antibody

Gene Names
CD59; 1F5; EJ16; EJ30; EL32; G344; MIN1; MIN2; MIN3; MIRL; HRF20; MACIF; MEM43; MIC11; MSK21; 16.3A5; HRF-20; MAC-IP; p18-20
Reactivity
Human, Mouse, Rat
Applications
Immunohistochemistry, Western Blot
Purity
Affinity Purification
Synonyms
CD59, Antibody; CD59 Polyclonal Antibody; 1F5; EJ16; EJ30; EL32; G344; MIN1; MIN2; MIN3; MIRL; HRF20; MACIF; MEM43; MIC11; MSK21; 16.3A5; HRF-20; MAC-IP; p18-20; anti-CD59 antibody
Ordering
Host
Rabbit
Reactivity
Human, Mouse, Rat
Clonality
Polyclonal
Isotype
IgG
Purity/Purification
Affinity Purification
Concentration
1mg/ml (varies by lot)
Sequence Length
128
Applicable Applications for anti-CD59 antibody
IHC (Immunohistochemistry), WB (Western Blot)
Species
Human
Immunogen
Recombinant Protein
Immunogen
Recombinant protein of human CD59
Calculated Molecular Weight
19kDa
Preparation and Storage
Store at -20 degree C (regular) or -80 degree C (long term). Avoid freeze / thaw cycles.
Buffer: PBS with 0.02% sodium azide, 50% glycerol, pH7.3.

IHC (Immunohistochemisry)

(Immunohistochemistry of paraffin-embedded mouse lung using CD59 antibody (40x lens).)

product-image-AAA36909_IHC11.jpg IHC (Immunohistochemisry) (Immunohistochemistry of paraffin-embedded mouse lung using CD59 antibody (40x lens).)

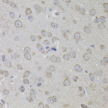
IHC (Immunohiostchemistry)

(Immunohistochemistry of paraffin-embedded mouse brain using CD59 antibody (40x lens).)

product-image-AAA36909_IHC13.jpg IHC (Immunohiostchemistry) (Immunohistochemistry of paraffin-embedded mouse brain using CD59 antibody (40x lens).)

WB (Western Blot)

(Western blot analysis of extracts of various cell lines, using CD59 antibody at 1:500 dilution.Secondary antibody: HRP Goat Anti-Rabbit IgG (H+L) at 1:10000 dilution.Lysates/proteins: 25ug per lane.Blocking buffer: 3% nonfat dry milk in TBST.Detection: ECL Enhanced Kit.Exposure time: 60s.)

product-image-AAA36909_WB15.jpg WB (Western Blot) (Western blot analysis of extracts of various cell lines, using CD59 antibody at 1:500 dilution.Secondary antibody: HRP Goat Anti-Rabbit IgG (H+L) at 1:10000 dilution.Lysates/proteins: 25ug per lane.Blocking buffer: 3% nonfat dry milk in TBST.Detection: ECL Enhanced Kit.Exposure time: 60s.)
Related Product Information for anti-CD59 antibody
This gene encodes a cell surface glycoprotein that regulates complement-mediated cell lysis, and it is involved in lymphocyte signal transduction. This protein is a potent inhibitor of the complement membrane attack complex, whereby it binds complement C8 and/or C9 during the assembly of this complex, thereby inhibiting the incorporation of multiple copies of C9 into the complex, which is necessary for osmolytic pore formation. This protein also plays a role in signal transduction pathways in the activation of T cells. Mutations in this gene cause CD59 deficiency, a disease resulting in hemolytic anemia and thrombosis, and which causes cerebral infarction. Multiple alternatively spliced transcript variants, which encode the same protein, have been identified for this gene. [provided by RefSeq, Jul 2008]
Product Categories/Family for anti-CD59 antibody

NCBI and Uniprot Product Information

NCBI GI #
NCBI GeneID
966
UniProt Accession #
Molecular Weight
128
NCBI Official Full Name
CD59 glycoprotein
NCBI Official Synonym Full Names
CD59 molecule, complement regulatory protein
NCBI Official Symbol
CD59
NCBI Official Synonym Symbols
1F5; EJ16; EJ30; EL32; G344; MIN1; MIN2; MIN3; MIRL; HRF20; MACIF; MEM43; MIC11; MSK21; 16.3A5; HRF-20; MAC-IP; p18-20
NCBI Protein Information
CD59 glycoprotein; protectin; 1F5 antigen; MEM43 antigen; Ly-6-like protein; T cell-activating protein; human leukocyte antigen MIC11; lymphocytic antigen CD59/MEM43; 20 kDa homologous restriction factor; membrane inhibitor of reactive lysis; membrane attack complex inhibition factor; membrane attack complex (MAC) inhibition factor; surface anitgen recognized by monoclonal antibody 16.3A5; CD59 antigen p18-20 (antigen identified by monoclonal antibodies 16.3A5, EJ16, EJ30, EL32 and G344)
UniProt Protein Name
CD59 glycoprotein
UniProt Gene Name
CD59
UniProt Synonym Gene Names
MIC11; MIN1; MIN2; MIN3; MSK21; HRF-20; HRF20; MAC-IP; MACIF; MIRL
UniProt Entry Name
CD59_HUMAN

Similar Products

Product Notes

The CD59 cd59 (Catalog #AAA36909) is an Antibody produced from Rabbit and is intended for research purposes only. The product is available for immediate purchase. The CD59 Polyclonal Antibody reacts with Human, Mouse, Rat and may cross-react with other species as described in the data sheet. AAA Biotech's CD59 can be used in a range of immunoassay formats including, but not limited to, IHC (Immunohistochemistry), WB (Western Blot). Researchers should empirically determine the suitability of the CD59 cd59 for an application not listed in the data sheet. Researchers commonly develop new applications and it is an integral, important part of the investigative research process. It is sometimes possible for the material contained within the vial of "CD59, Polyclonal Antibody" to become dispersed throughout the inside of the vial, particularly around the seal of said vial, during shipment and storage. We always suggest centrifuging these vials to consolidate all of the liquid away from the lid and to the bottom of the vial prior to opening. Please be advised that certain products may require dry ice for shipping and that, if this is the case, an additional dry ice fee may also be required.

Precautions

All products in the AAA Biotech catalog are strictly for research-use only, and are absolutely not suitable for use in any sort of medical, therapeutic, prophylactic, in-vivo, or diagnostic capacity. By purchasing a product from AAA Biotech, you are explicitly certifying that said products will be properly tested and used in line with industry standard. AAA Biotech and its authorized distribution partners reserve the right to refuse to fulfill any order if we have any indication that a purchaser may be intending to use a product outside of our accepted criteria.

Disclaimer

Though we do strive to guarantee the information represented in this datasheet, AAA Biotech cannot be held responsible for any oversights or imprecisions. AAA Biotech reserves the right to adjust any aspect of this datasheet at any time and without notice. It is the responsibility of the customer to inform AAA Biotech of any product performance issues observed or experienced within 30 days of receipt of said product. To see additional details on this or any of our other policies, please see our Terms & Conditions page.

Item has been added to Shopping Cart

If you are ready to order, navigate to Shopping Cart and get ready to checkout.

Submit a Question

Please complete the form below and a representative will contact you as soon as possible.

Request more Information

Please complete the form below and a representative will contact you as soon as possible.

Request a Manual

Please complete the form below and a representative will contact you as soon as possible.

Request a Quote

Please complete the form below and a representative will contact you as soon as possible.