Loading...

Skip to main content
Call us at +1-800-604-9114 for more information about our products or contact us online Need help? +1-800-604-9114 or contact us
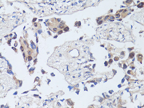
product-image-AAA36981_IHC13.jpg IHC (Immunohiostchemistry) (Immunohistochemistry of paraffin-embedded human lung cancer using CCND1 antibody at dilution of 1:100 (40x lens).)

Rabbit CCND1 Polyclonal Antibody | anti-CCND1 antibody

CCND1 Polyclonal Antibody

Gene Names
CCND1; BCL1; PRAD1; U21B31; D11S287E
Reactivity
Human, Mouse, Rat
Applications
Immunohistochemistry, Western Blot
Purity
Affinity Purification
Synonyms
CCND1, Antibody; CCND1 Polyclonal Antibody; CCND1; BCL1; D11S287E; PRAD1; U21B31; anti-CCND1 antibody
Ordering
Host
Rabbit
Reactivity
Human, Mouse, Rat
Clonality
Polyclonal
Isotype
IgG
Purity/Purification
Affinity Purification
Concentration
1mg/ml (varies by lot)
Sequence Length
295
Applicable Applications for anti-CCND1 antibody
IHC (Immunohistochemistry), WB (Western Blot)
Species
Human
Immunogen
Recombinant Protein
Immunogen
Recombinant protein of human Cyclin D1
Calculated Molecular Weight
34kDa
Preparation and Storage
Store at -20 degree C. Avoid freeze / thaw cycles.|Buffer: PBS with 0.09% Sodium azide,50% glycerol,pH7.3.

IHC (Immunohiostchemistry)

(Immunohistochemistry of paraffin-embedded human lung cancer using CCND1 antibody at dilution of 1:100 (40x lens).)

product-image-AAA36981_IHC13.jpg IHC (Immunohiostchemistry) (Immunohistochemistry of paraffin-embedded human lung cancer using CCND1 antibody at dilution of 1:100 (40x lens).)

WB (Western Blot)

(Western blot analysis of extracts of various cell lines, using CCND1 antibody at 1:500 dilution.Secondary antibody: HRP Goat Anti-Rabbit IgG (H+L) at 1:10000 dilution.Lysates/proteins: 25ug per lane.Blocking buffer: 3% nonfat dry milk in TBST.Detection: ECL Enhanced Kit.Exposure time: 60s.)

product-image-AAA36981_WB15.jpg WB (Western Blot) (Western blot analysis of extracts of various cell lines, using CCND1 antibody at 1:500 dilution.Secondary antibody: HRP Goat Anti-Rabbit IgG (H+L) at 1:10000 dilution.Lysates/proteins: 25ug per lane.Blocking buffer: 3% nonfat dry milk in TBST.Detection: ECL Enhanced Kit.Exposure time: 60s.)
Related Product Information for anti-CCND1 antibody
Activity of the cyclin-dependent kinases CDK4 and CDK6 is regulated by T-loop phosphorylation, by the abundance of their cyclin partners (the D-type cyclins), and by association with CDK inhibitors of the Cip/Kip or INK family of proteins (1). The inactive ternary complex of cyclin D/CDK4 and p27 Kip1 requires extracellular mitogenic stimuli for the release and degradation of p27 concomitant with a rise in cyclin D levels to affect progression through the restriction point and Rb-dependent entry into S-phase (2). The active complex of cyclin D/CDK4 targets the retinoblastoma protein for phosphorylation, allowing the release of E2F transcription factors that activate G1/S-phase gene expression (3). Levels of cyclin D protein drop upon withdrawal of growth factors through downregulation of protein expression and phosphorylation-dependent degradation (4).Of the three D cyclins, aberrant expression of cyclin D1 has been associated with many forms of cancer including B cell lymphomas and can directly contribute to oncogenesis by various mechanisms including gene translocation or amplification (2). Cyclin D1 also plays a critical role in mammary tissue maturation (5).
Product Categories/Family for anti-CCND1 antibody

NCBI and Uniprot Product Information

NCBI GI #
NCBI GeneID
595
UniProt Accession #
Molecular Weight
295
NCBI Official Full Name
G1/S-specific cyclin-D1
NCBI Official Synonym Full Names
cyclin D1
NCBI Official Symbol
CCND1
NCBI Official Synonym Symbols
BCL1; PRAD1; U21B31; D11S287E
NCBI Protein Information
G1/S-specific cyclin-D1; BCL-1 oncogene; PRAD1 oncogene; B-cell CLL/lymphoma 1; B-cell lymphoma 1 protein
UniProt Protein Name
G1/S-specific cyclin-D1
UniProt Gene Name
CCND1
UniProt Synonym Gene Names
BCL1; PRAD1; BCL-1
UniProt Entry Name
CCND1_HUMAN

Similar Products

Product Notes

The CCND1 ccnd1 (Catalog #AAA36981) is an Antibody produced from Rabbit and is intended for research purposes only. The product is available for immediate purchase. The CCND1 Polyclonal Antibody reacts with Human, Mouse, Rat and may cross-react with other species as described in the data sheet. AAA Biotech's CCND1 can be used in a range of immunoassay formats including, but not limited to, IHC (Immunohistochemistry), WB (Western Blot). Researchers should empirically determine the suitability of the CCND1 ccnd1 for an application not listed in the data sheet. Researchers commonly develop new applications and it is an integral, important part of the investigative research process. It is sometimes possible for the material contained within the vial of "CCND1, Polyclonal Antibody" to become dispersed throughout the inside of the vial, particularly around the seal of said vial, during shipment and storage. We always suggest centrifuging these vials to consolidate all of the liquid away from the lid and to the bottom of the vial prior to opening. Please be advised that certain products may require dry ice for shipping and that, if this is the case, an additional dry ice fee may also be required.

Precautions

All products in the AAA Biotech catalog are strictly for research-use only, and are absolutely not suitable for use in any sort of medical, therapeutic, prophylactic, in-vivo, or diagnostic capacity. By purchasing a product from AAA Biotech, you are explicitly certifying that said products will be properly tested and used in line with industry standard. AAA Biotech and its authorized distribution partners reserve the right to refuse to fulfill any order if we have any indication that a purchaser may be intending to use a product outside of our accepted criteria.

Disclaimer

Though we do strive to guarantee the information represented in this datasheet, AAA Biotech cannot be held responsible for any oversights or imprecisions. AAA Biotech reserves the right to adjust any aspect of this datasheet at any time and without notice. It is the responsibility of the customer to inform AAA Biotech of any product performance issues observed or experienced within 30 days of receipt of said product. To see additional details on this or any of our other policies, please see our Terms & Conditions page.

Item has been added to Shopping Cart

If you are ready to order, navigate to Shopping Cart and get ready to checkout.

Submit a Question

Please complete the form below and a representative will contact you as soon as possible.

Request more Information

Please complete the form below and a representative will contact you as soon as possible.

Request a Manual

Please complete the form below and a representative will contact you as soon as possible.

Request a Quote

Please complete the form below and a representative will contact you as soon as possible.