Mouse Filaggrin Monoclonal Antibody | anti-FLG antibody
Filaggrin (Keratinocyte Differentiation Marker)
Gene Names
FLG; ATOD2
Reactivity
Human. Others not tested.
Applications
Immunohistochemistry, Immunofluorescence, Flow Cytometry, Functional Assay
Synonyms
Filaggrin, Antibody; Filaggrin (Keratinocyte Differentiation Marker); ATOD2; Epidermal Filaggrin; Filaggrin; Filaggrin precursor; Fillagrin; FLG; Profilaggrin; anti-FLG antibody
Host
Mouse
Reactivity
Human. Others not tested.
Clonality
Monoclonal
Isotype
IgG1, kappa
Clone Number
FLG/1562
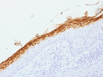
Specificity
Filaggrin is an intermediate filament-associated protein that aggregates keratin intermediate filaments in mammalian epidermis. It is initially synthesized as a polyprotein precursor, profilaggrin (consisting of multiple filaggrin units of 324 aa each), which is localized in keratohyalin granules, and is subsequently proteolytically processed into individual functional filaggrin molecules. Active filaggrin is present at a level of the epidermis where keratinocytes are in transition between the live nucleated granular layer and the anucleate cornified layer, suggesting that filaggrin aids in the terminal differentiation process by facilitating apoptotic machinery.
Form/Format
200ug/ml of Ab purified from Bioreactor Concentrate by Protein A/G. Prepared in 10mM PBS with 0.05% BSA & 0.05% azide. Also available WITHOUT BSA & azide at 1.0mg/ml.
Sequence Length
4061
Applicable Applications for anti-FLG antibody
IHC (Immunohistochemistry), IF (Immunofluorescence), FCM/FACS (Flow Cytometry)
Immunogen
Recombinant human Filaggrin protein fragment (aa 998-1104)
Cellular Localization
Cytoplasmic
Hu-chromosome Location
1q21.3
Positive Control
U-251-MG cells or Skin
Preparation and Storage
Antibody with azide - store at 2 to 8 degree C.
Antibody without azide - store at -20 to -80 degree C.
Antibody is stable for 24 months. Non-hazardous. No MSDS required.
Antibody without azide - store at -20 to -80 degree C.
Antibody is stable for 24 months. Non-hazardous. No MSDS required.
References
Gan, S.Q., et al. 1990. Organization, structure, and polymorphisms of the human profilaggrin gene. Biochemistry 29: 9432-9440.
NCBI and Uniprot Product Information
NCBI GI #
NCBI GeneID
NCBI Accession #
NCBI GenBank Nucleotide #
Molecular Weight
26-45kDa (Processed); 350kDa (Profilaggrin)
NCBI Official Full Name
filaggrin
NCBI Official Synonym Full Names
filaggrin
NCBI Official Symbol
FLG
NCBI Official Synonym Symbols
ATOD2
NCBI Protein Information
filaggrin
UniProt Protein Name
Filaggrin
UniProt Gene Name
FLG
Customer Reviews
Loading reviews...
Share Your Experience
Similar Products
Product Notes
The FLG flg (Catalog #AAA62977) is an Antibody produced from Mouse and is intended for research purposes only. The product is available for immediate purchase. The Filaggrin (Keratinocyte Differentiation Marker) reacts with Human. Others not tested. and may cross-react with other species as described in the data sheet. AAA Biotech's Filaggrin can be used in a range of immunoassay formats including, but not limited to, IHC (Immunohistochemistry), IF (Immunofluorescence), FCM/FACS (Flow Cytometry). Researchers should empirically determine the suitability of the FLG flg for an application not listed in the data sheet. Researchers commonly develop new applications and it is an integral, important part of the investigative research process. It is sometimes possible for the material contained within the vial of "Filaggrin, Monoclonal Antibody" to become dispersed throughout the inside of the vial, particularly around the seal of said vial, during shipment and storage. We always suggest centrifuging these vials to consolidate all of the liquid away from the lid and to the bottom of the vial prior to opening. Please be advised that certain products may require dry ice for shipping and that, if this is the case, an additional dry ice fee may also be required.Precautions
All products in the AAA Biotech catalog are strictly for research-use only, and are absolutely not suitable for use in any sort of medical, therapeutic, prophylactic, in-vivo, or diagnostic capacity. By purchasing a product from AAA Biotech, you are explicitly certifying that said products will be properly tested and used in line with industry standard. AAA Biotech and its authorized distribution partners reserve the right to refuse to fulfill any order if we have any indication that a purchaser may be intending to use a product outside of our accepted criteria.Disclaimer
Though we do strive to guarantee the information represented in this datasheet, AAA Biotech cannot be held responsible for any oversights or imprecisions. AAA Biotech reserves the right to adjust any aspect of this datasheet at any time and without notice. It is the responsibility of the customer to inform AAA Biotech of any product performance issues observed or experienced within 30 days of receipt of said product. To see additional details on this or any of our other policies, please see our Terms & Conditions page.Item has been added to Shopping Cart
If you are ready to order, navigate to Shopping Cart and get ready to checkout.
